https://doi.org/10.35381/s.v.v8i2.4274
Distalización vs extracción para corrección de clase II esqueletal. Estudio de boca dividida en hermanas
Distalization vs extraction for skeletal class II correction. Study of mouth divided into sisters
Jorge Jesús Paisano-Serrano
jorge.paisano.57@est.ucacue.edu.ec
Universidad Católica de Cuenca, Cuenca, Azuay
Ecuador
https://orcid.org/0009-0001-9027-5993
Lorenzo Puebla-Ramos
Universidad Católica de Cuenca, Cuenca, Azuay
Ecuador
https://orcid.org/0000-0002-0527-9990
Ronald Roossevelt Ramos-Montiel
Universidad Católica de Cuenca, Cuenca, Azuay
Ecuador
https://orcid.org/0000-0002-8066-5365
Recibido: 15 de diciembre 2023
Revisado: 20 de enero 2024
Aprobado: 15 de marzo 2024
Publicado: 01 de abril 2024
RESUMEN
Objetivo: Evaluar el tratamiento ortodóntico de la Clase II esqueletal y sus repercusiones dentarias y faciales. Método: Se analizaron dos casos clínicos de hermanas de 12 y 14 años con maloclusión de Clase II, usando evaluaciones clínicas y radiográficas. Resultados: La distalización de molares con microimplantes ofreció una solución rápida y estética, mejorando la relación molar a Clase I y evitando alteraciones faciales drásticas. Los microimplantes proporcionaron un anclaje excelente, sin complicaciones estéticas o funcionales. En comparación, las extracciones de premolares, aunque efectivas, pueden generar alteraciones faciales no deseadas. Conclusiones: El tratamiento ortodóntico debe personalizarse, destacando la eficacia de los microimplantes para mantener la estética y funcionalidad. Un diagnóstico exhaustivo es esencial para elegir el enfoque adecuado y asegurar resultados satisfactorios y estables.
Descriptores: Fenómenos fisiológicos de la dentición; migración del diente; pérdida de diente. (Fuente: DeCS).
ABSTRACT
Objective: To evaluate the orthodontic treatment of skeletal Class II and its dental and facial repercussions. Methods: Two clinical cases of 12 and 14 year old sisters with Class II malocclusion were analyzed using clinical and radiographic evaluations. Results: The distalization of molars with microimplants offered a quick and esthetic solution, improving the molar to Class I relationship and avoiding drastic facial alterations. The microimplants provided excellent anchorage, with no esthetic or functional complications. In comparison, premolar extractions, although effective, can generate undesirable facial alterations. Conclusions: Orthodontic treatment should be customized, highlighting the efficacy of microimplants in maintaining esthetics and functionality. A thorough diagnosis is essential to choose the right approach and ensure satisfactory and stable results.
Descriptors: Dental physiological phenomena; migración del diente; pérdida de diente. (Source: DeCS).
INTRODUCCIÓN
La Clase II esqueletal valorada por la interacción maxilo-mandibular presenta repercusiones dentarias, en la posición y relación de los molares superiores e inferiores; es así, que la mayor parte de pacientes con esta condición esqueletal podría presentar una maloclusión Clase II y, a su vez esta maloclusión podía subdividirse en dos condiciones, observadas clínicamente en el sector anterior de la cavidad oral, descrita por Angle y representa una de las distoclusiones frecuentes en más del 20% de la población a nivel mundial y el 15% de la población adolescente 1.
De acuerdo a estas altas prevalencias las universidades, a nivel mundial, han presentado diversos métodos diagnósticos para el tratamiento de las mismas, así mismo, el tratamiento de las maloclusiones ha significado un reto enorme y ha obligado a constantes etapas de evolución de la Ortodoncia, ya que no es sólo el posicionamiento inadecuado de los dientes, sino que se requieren respuestas satisfactorias a las exigencias estéticas, de normoclusión y de salud bucal del paciente ortodóntico 2.
En este escenario (Clase II esqueletal) existe gran disyuntiva frente al desarrollo de un tratamiento temprano, quirúrgico o clínico, o tal vez, la interacción de todos ellos y a su vez, dentro de estos, el uso de mecánicas de distalización vs mecánicas de extracción, que obliga a los profesionales a una constante evaluación de los diferentes protocolos y tecnologías emergentes que permitan la generación del espacio dentario que logre establecer el equilibrio de la región cráneo cérvico maxilofacial 3.
Las alternativas de tratamiento para la Clase II esqueletal con maloclusión más estudiadas y debatidas en camuflaje o compensaciones dento-esqueletales son: la distalización molar vs las extracciones de premolares superiores; la primera, es una alternativa sin extracción de dientes que consiste en una modalidad de tratamiento que emplea fuerzas (intra o extraorales) mediante el uso de dispositivos de anclaje temporal TAD (intraalveolares o extraalveolares) para lograr el desplazamiento de los molares con mínima rotación e inclinación distal, resolviendo el apiñamiento anterosuperior en las etapas iniciales del tratamiento y proporcionando la funcionalidad dental (4). Entre las indicaciones descritas para hacer el tratamiento de distalización de molares se encuentran: 1) pacientes con maloclusiones de Clase II de tipo dental uni o bilateral con sobremordida horizontal aumentada por protrusión dentoalveolar superior, idealmente, en dentición mixta o permanente temprana con problemas esqueléticos mínimos; 2) en individuos con crecimiento normal o hipodivergentes; 3) en apiñamientos anteriores; 4) en caninos ectópicos superiores; 5) en apiñamientos leves y moderados del arco inferior y 5) en pacientes que no acepten las extracciones como alternativa de tratamiento 1. La segunda y en contraposición a las mecánicas de distalización, es el uso de mecánicas de extracción de premolares superiores para la corrección de la Clase II esqueletal, dando así origen a distintas filosofías de tratamiento y de diversas tendencias terapéuticas 5.
Los momentos históricos en Ortodoncia fueron divididos por pensamientos contraponentes, y es así que, se empezaron a publicar diversos postulados de las ventajas y desventajas para el tratamiento no quirúrgico de la Clase II esqueletal con maloclusión; por lo que, fue posible observar que los mini-implantes permiten mejor anclaje y estabilidad del mismo, e higiene en el tejido blando periodontal por ende, la disminución de enfermedades periodontales durante el tratamiento ortodóncico, lo que permite una buena referencia en términos de seguridad y estabilidad del dispositivo, tamaño, facilidad de inserción y remoción 6. Sin embargo, se han reportado, de igual manera desventajas relacionadas con las zonas de inserción, costos, estructura, uso de aditamentos especiales en el dispositivo, entre otros 4.
En este sentido, se evidencia como las zonas de inserción de los TAD se han ampliado durante la práctica ortodóntica, a fin de superar limitaciones de espacio, correcto posicionamiento, falta de estabilidad y anclaje, que pueden acarrear daños tanto a las piezas dentales involucradas, en el procedimiento clínico, como en la integridad del TAD; se observa entonces, como a la zona de inserción inicial (hueso alveolar) se sugiere adicionar zonas como la cresta infracigomática y el palatal shelf (repisa del paladar) o corredor del hueso palatino, el lado palatino del proceso alveolar maxilar, el área retromolar superior, la placa cortical alveolar buco maxilar. Esto posibilita que los miniimplantes colocados en estas zonas, puedan soportar fuerzas mayores sin perder estabilidad, ampliando su uso a situaciones más complejas.
El argumento más importante esgrimido por los extraccionistas, ha sido la estabilidad y estética dental, seriamente afectada, a largo plazo por la recidiva que puede acompañar a procedimientos de expansión de los arcos dentarios y la vestibularización de los dientes. Enfatizando que las extracción de piezas dentales provocan cambios a nivel del perfil, la sonrisa y la posición de los incisivos; producto de movimientos de retracción, atracción o protracción que se pueden ejercer en el segmento anterior superior e inferior; en este sentido, los tratamientos de Ortodoncia con extracciones deben considerar la fase de la retención mecánica y, así, asegurar mientras sea posible, una buena estabilidad biológica, teniendo presente que existe una latente recidiva que fluctúa entre 5-15% y esta a su vez produciría diversas alteraciones y cambios leves o moderados a largo plazo 7 8.
La responsabilidad del profesional de la Ortodoncia, en el momento de tomar una decisión que premie el uso de mecánicas con o sin extracción debe estar apoyado en procesos de diagnóstico y planificación en los que se analicen variables cefalométricas, clínicas, procesos biomecánicos a utilizar, antecedentes y condiciones de salud del paciente; del mismo modo, se debería considerar el estudio del perfil facial, posición e inclinación de incisivos inferiores, relación canina, relación molar, apiñamiento, discrepancia y cantidad de espacio 9.
Por lo cual, el objetivo de este estudio clínico fue evaluar el tratamiento ortodóntico de la Clase II esqueletal y sus repercusiones dentarias y faciales.
MÉTODO
La metodología de esta investigación se basa en la presentación de dos casos clínicos de hermanas de 12 y 14 años que acudieron al servicio de Ortodoncia de la Escuela de Posgrado de la Universidad Católica de Cuenca, con el motivo de consulta de dientes salidos. Ambos casos fueron evaluados mediante un análisis clínico detallado, que incluyó la revisión de antecedentes médicos y familiares, así como un examen intraoral y extraoral para identificar problemas dentales y faciales. Se realizaron radiografías panorámicas y cefalométricas para obtener un diagnóstico preciso de la maloclusión presente y planificar el tratamiento ortodóntico adecuado. Los procedimientos fueron documentados y monitoreados a lo largo del tratamiento, registrando el progreso y las respuestas individuales de las pacientes a las fuerzas ortodónticas aplicadas. Este enfoque permitió una evaluación comparativa entre los dos casos, proporcionando datos relevantes para el manejo de maloclusiones en pacientes con características familiares similares.
RESULTADOS
Pacientes de sexo femenino, de 14 y 12
años de edad respectivamente, parientes consanguíneos (hermanas), ASA I, sin antecedentes heredo-familiares
ni patológicos evidentes, alergias negadas al
interrogatorio, quienes asistieron al centro
de especialidades odontológicas de la sede de Posgrado de la Universidad
Católica de Cuenca, ubicado en Uncovía, cantón Cuenca, en Ecuador.
El examen clínico extraoral revela que las pacientes del caso 1 y 2, presentan perfil recto, leve asimetría facial, con tercios faciales levemente desproporcionados, labios competentes, sonrisa media para ambos casos, línea media facial coincidente con línea media dental, distancia intercantal coincidente con la distancia interalar, distancia bipupilar no coincidente con la distancia bicomisural; ángulo nasolabial con valores dentro de la norma (107°), labios dentro de la norma para el caso 1, según Legan y Ricketts; para el caso 2, se evidencia ángulo nasolabial aumentado (114º), presentando retrusión labial y proquelia, a nivel del labio inferior (+1,8mm) según Legan y Ricketts (Figura 1).

Figura 1. Secuencia de imágenes extraorales diagnósticas.
Elaboración: Los autores.
El examen intraoral, se observa, en ambos casos, dentición permanente, línea media inferior desviada a la izquierda, mordida profunda, overbite y overjet aumentado. Se evidencia, de igual manera, relación canina y molar Clase II bilateral para el caso 1 y relación canina y molar derecha Clase II y, del lado izquierdo se presenta una relación canina Clase II y una relación molar Clase I para el caso 2. En vista lateral izquierda, para el caso 1, se aprecia órgano dentario 23 en supraoclusión. En vista oclusal superior, se presenta forma de arco ovalado, leve asimetría del lado izquierdo en relación al lado derecho; leve giroversión en órgano dental 14, 25 y 26; caries incipientes en piezas 16, 22, 24 y 26. A nivel de vista oclusal inferior se presenta, en el caso 1, forma de arco parabólica, simétrico; leve giroversión en órgano dental 35 y 44; presencia de diastemas entre los órganos dentales 36 y 35, 35 y 34; restauración defectuosa en el órgano dental 36 y caries en el órgano dental 46 para el caso 1.
En vista oclusal superior, se presenta en el caso 2, forma de arco parabólica, leve asimetría del lado izquierdo en relación al lado derecho; leve giroversión en órgano dental 14 y 26; con pieza 17 parcialmente erupcionada y pieza 27 ausente en boca; caries incipiente en pieza 16. A nivel de vista oclusal inferior se presenta, forma de arco ovalada, simétrico; órgano dental 36 inclinado hacia lingual; con pieza 37 ausente en boca y pieza 47 parcialmente erupcionada; presencia de diastemas entre los órganos dentales 34 y 33; restauración defectuosa en el órgano dental 36 y ausencia de caries para el caso 2.
En el análisis de modelos se presenta, en el caso 1, una curva de Spee levemente moderada, overjet 3,5mm, overbite de 4mm, discrepancia superior -3mm e inferior de +3mm, relación canina y molar Clase II bilateral. Para el caso 2. se observa una curva de Spee levemente moderada, overjet 3,5mm, overbite de 4,5mm, discrepancia superior e inferior de + 3mm e incisivos inferiores extruidos.
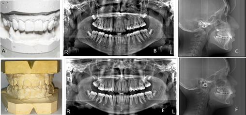
Al análisis radiográfico se muestra, en la radiografía panorámica del caso 1 la presencia de piezas dentales erupcionadas 17,16,15,14,13,12,11, 21,22,23,24,25,26,27, 37,36,35,34,33,32,31,41,42,43,44,45,46,47; órgano dental n° 18,28,38,48 en proceso de formación; proporción corona-raíz de los órganos dentarios adecuada, niveles de la cresta ósea con altura adecuada; sin signos de enfermedad periodontal; cóndilos aparentemente simétricos y presencia de cornetes normales.
En el caso 2, se observa la presencia de piezas dentales erupcionadas 16,15,14,13,12,11,21,22,23,24,25,26,36,35,34,33,32,31,41,42,43,44,45,46; órgano dental 17 y el 47 en proceso de erupción; órgano dental 27 y 37 parcialmente erupcionados; proporción corona-raíz de los órganos dentarios adecuada; niveles de la cresta ósea con altura adecuada; sin signos de enfermedad periodontal; cóndilos aparentemente simétricos y presencia de cornetes normales.
La radiografía cefálica lateral muestra para el caso 1, un valor de sobremordida horizontal (B1-A1) de +5 mm que refleja una sobremordida; en la sobremordida vertical (B1-A1) el paciente presenta +4.6 mm lo que indica una mordida profunda; la convexidad (A/N - pog) es de +7 mm que revela Clase II esquelética; la protrusión del incisivo superior (A1/A-poq) muestra un valor de +7mm que indica la presencia de Incisivo superior protruido. En el caso 2 muestra un valor de sobremordida horizontal (B1-A1) de +5 mm que refleja sobremordida; en la sobremordida vertical (B1-A1) el paciente presenta +5mm lo que indica mordida profunda; la convexidad (A/N - pog) es de +6mm que revela Clase II esquelética; valor de protrusión labial (Li/Pn-Dt) +2mm que indica un labio inferior protruido.

Figura 2. Radiografía panorámica y Modelo en vista oclusal frontal
Elaboración: Los autores.
El diagnóstico cefalométrico reveló, en el caso 1 perfil convexo, Clase II esqueletal por protrusión maxilar, proinclinación de incisivos, protrusión del incisivo superior, mordida profunda, braquifacial suave; Línea media inferior desviada a la izquierda, Clase Molar II - canina II derecha-izquierda. Curva de Spee moderada, overjet y overbite aumentado y vía aérea permeable. En relación al caso 2, se evidenció perfil convexo, Clase II esqueletal por protrusión maxilar, incisivos inferiores extruidos, mordida profunda, braquifacial severo, con linea media inferior desvía 1.5 a la izquierda, Clase II canina izquierda; Clase II molar derecha, Clase molar izquierda Clase I, Curva de Spee profunda, Overjet 3,5mm y overbite 4,5mm y vía aérea estrecha superior.
Se presenta en la tabla 1, los principales valores producto del diagnóstico cefalométrico en cada caso, que involucró un análisis de campo, a nivel dental, esquelético, dentoesquelético, estético, cráneo facial y de estructura interna del paciente a partir de parámetros anatómicos y de relación oclusal, comparados con valores de norma, que permitieron comparar e interpretar los datos obtenidos de las pacientes y que serían utilizados en la planificación del tratamiento.
Tabla 1.
Síntesis de diagnóstico cefalométricos para caso 1 y 2.
|
CAMPO |
CASO 1 |
INTERPRE- TACIÓN |
CASO 1 |
INTERPRE-TACIÓN |
CASO 2 |
INTERPRE-TACIÓN |
|
Inicial |
Final |
|||||
|
Sobremordida horizontal (B1-A1) |
+5mm |
Sobremordida |
|
|
+5mm |
Sobremordida |
|
+2.5mm |
norma |
|||||
|
Sobremordida vertical (B1-A1) |
+4,6mm |
Mordida profunda |
+2mm |
norma |
+5mm |
Mordida profunda |
|
Extrusión incisivo inferior (B1-oclu) |
+2,3mm |
Norma |
+2.3mm |
norma |
+4mm |
Incisivo inferior extruido |
|
Convexidad (A/N - pog) |
+7mm |
Clase II esquelética |
|
Clase II esquelética |
+6mm |
Clase II esquelética |
|
+9mm |
||||||
|
Altura facial inferior (ENA-XI.pm) |
58° |
Tercio medio inf aumentado |
|
Tercio medio inferior aumentado |
47° |
norma |
|
58° |
||||||
|
Protrusión de Incis. Inf. (B1/A-poq) |
+2mm |
Norma |
1.5mm |
norma |
+5mm |
Incisivo inf protruido |
|
Protrusión de Inci. Sup. (A1/A-poq) |
+7mm |
Incisivo sup protruido |
5mm |
norma |
+9mm |
incisivo sup protruido |
|
Inclinación del incisivo inf |
20° |
Norma |
20° |
norma |
20° |
Norma |
|
Inclinación del incisivo sup |
31° |
Norma |
25° |
norma |
26° |
Norma |
|
Inclinación del plano oclusal |
32° |
Mordida profunda |
30° |
Mordida profunda |
19° |
Norma |
|
Protrusión labial (Li/Pn-Dt) |
-2mm |
Norma |
-1mm |
norma |
+2mm |
Labio inferior protruido |
|
Longitud del labio sup (Ena-Em) |
+27mm |
Labio largo |
+27mm |
Labio largo |
+23mm |
Norma |
|
Profundidad facial (Frankfort/P.Facial) |
81° |
Retrusión mandibular |
86° |
norma |
92° |
Norma |
|
Profundidad Maxilar (Frankfort/Na-A) |
89° |
norma |
93° |
norma |
99° |
Maxilar protruido |
|
Longitud craneal anterior (CC.-N) |
+45mm |
Longitud Craneal Anterior corta |
+45mm |
Longitud Craneal Anterior corta |
+44mm |
Longitud Craneal Anterior corta |
|
Longitud del cuerpo mandibular XI-Pm |
+58mm |
Cuerpo mandibular corto |
+58mm |
Cuerpo mandibular corto |
+60mm |
Cuerpo mandibular corto |
|
Posición de la rama (Po-Or/Cf-XI) |
70° |
Posición posterior de la rama |
72° |
Posición posterior de la rama |
73° |
Norma |
|
Angulo SNA |
85° |
Protusión maxilar |
85° |
Protusión maxilar |
92º |
Protusión maxilar |
|
Angulo SNB |
80° |
Norma |
80° |
Norma |
83.º |
Norma |
|
Angulo ANB |
5° |
Clase II |
5° |
Clase II |
9° |
Clase II |
|
IMPA |
92° |
Incisivo inf proinclinado |
90° |
norma |
85° |
Incisivo inf retroinclinado |
|
1/ Ena - Enp |
115° |
Incisivo sup proinclinado |
105° |
norma |
114° |
Incisivo superior proinclinado |
|
Línea estética facial a labio sup |
-4mm |
norma |
-5 |
retroquelia |
0 |
Labio protruido |
|
Línea estética facial a labio inf |
+1mm |
Norma |
-0.8 |
retroquelia |
2 |
Norma |
Elaboración: Los autores.
Los objetivos logrados con el tratamiento planificado, en cada caso clínico, buscaron mejorar el perfil de cada paciente, estableciendo la Clase I molar y canina bilateral, a partir del logro de una adecuada guía anterior y canina, liberando el apiñamiento y obteniendo un adecuado overbite y overjet. Los resultados y análisis diagnósticos permitieron establecer un plan de tratamiento para el caso 1, que consistió en cementación de brackets metálicos convencionales, prescripción MBT, cementando los brackets de incisivos superiores más hacia incisal para lograr intrusión del sector antero-superior y los brackets de los incisivos inferiores invertidos para obtener un torque positivo, alineación – nivelación, secuencia de arcos, topes en posterior, distalización de molares con micro implante infracigomatico.
En relación al caso 1, el plan de tratamiento consistió en cementación de brackets metálicos convencionales, prescripción MBT, cementando los brackets de incisivos superiores más hacia incisal para lograr intrusión del sector antero-superior y los brackets de los incisivos inferiores invertidos para obtener un torque positivo, alineación – nivelación, secuencia de arcos, topes en posterior, extracción de primeros premolares 14 y 24, cierre reciproco con hook grimpables en distal del 13-23 colocando cadenas de los molares a los hook grimpables.

Figura 3. Secuencia de imágenes inicio de tratamiento – etapa intermedia y final del tratamiento para el caso 1.
Elaboración: Los autores.

Figura 4. Secuencia de imágenes inicio de tratamiento – etapa intermedia y final del tratamiento para el caso 2.
Elaboración: Los autores.
Los resultados del tratamiento, del caso 1 (Figura 3), muestran que con la distalización se logró obtener una correcta relación Clase I, lográndose una mejor estética y función con respecto a la relación molar, canina y guía anterior. Se logró mejora del perfil, mejora de la sonrisa, que se traduce en un aumento de la autoestima y mejor calidad de vida de la paciente. El tiempo de logro para la corrección fue de un año y tres meses. Los efectos colaterales observados durante el tratamiento fueron la apertura de la mordida, pero en este caso fue favorable ya que la paciente presentaba mordida profunda.
En el análisis de la radiografía panorámica final se pueden observar raíces paralelas con una adecuada proporción corona – raíz y el retenedor fijo. En la radiografía cefálica lateral se puede observar la corrección de la Clase esqueletal 2, la correcta posición de los incisivos superiores e inferiores, además de la disminución del overjet y del overbite. En la comparación de las fotos obtenidas durante el pretratamiento y post tratamiento se puede observar la corrección de la línea media; mejora del overjet el overbite; se obtiene una Clase I canina y molar bilateral y se corrige el leve apiñamiento. En el análisis del perfil y de la sonrisa, se puede observar una mejora del perfil y una sonrisa menos forzada y menos forzamiento a la hora de cerrar los labios.
El cambio en la estética facial, en el caso 2 (Figura 4), fue la parte más importante del tratamiento. Con la extracción de los primeros premolares superiores se logró una relación Clase I canina y una relación molar funcional Clase II. El tiempo de logro para la corrección fue de un año y ocho meses. Los efectos secundarios observados durante el tratamiento fueron mayores retroinclinación en las piezas dentarias y una resistencia al cierre despacio debido al biotipo facial del paciente. En síntesis, se puede establecer que en el caso del paciente con extracciones se logró corregir la relación canina, el overjet y el overbite, pero se mantuvo una relación molar Clase II; en cambio en el paciente de distalizacion si se pudo corregir la relación molar, relación canina.
Los resultados de este estudio clínico coinciden con la afirmación de Mandakovic et al. 2018, quienes defienden que en presencia de una relación molar de Clase II, de origen predominantemente dental, estas pueden ser corregidas realizando tratamientos con o sin extracciones donde se requieren movimientos distales de los molares superiores para crear una relación molar de Clase I.
En la Clase II esquelética la protrusión dentoalveolar produce un perfil facial convexo, proquelia y protrusión dental que resultan en incompetencia labial y tensión en el músculo del mentón, esto se traduce en una condición estéticamente desfavorable que resulta inaceptable para los pacientes, sobretodo en adolescentes 8.
DISCUSIÓN
La mecánica de extracción aplicada en el segundo caso clínico produjo cambios satisfactorios en el perfil, inicialmente asimétrico y en los tejidos blandos del paciente, esto coincide con lo argumentado por Iglesias cuando señala que los ortodoncistas han comprobado que la terapéutica de extracciones de premolares es seguida por cambios en el perfil y tejidos blandos 10. Al respecto, Vidal et al. argumentan que son los premolares las piezas dentales extraídas con mayor frecuencia para el tratamiento de apiñamiento y que es un plan óptimo en casos donde la discrepancia ósea es manejable y la valoración clínica y radiográfica sea idóneo para el procedimiento 11 el perfil de la persona si cambia con el tratamiento de Ortodoncia y extracción de premolares significativamente, llegando a un perfil adecuado y armónico, en la mayoría de la población estudiada 10.
De igual manera, la mecánica de distalización molar ha demostrado ser un procedimiento eficaz que no genera efectos secundarios en la región de anclaje. Al respecto, se ha considerado un alto porcentaje de éxito en los mini - implantes de 80% al 100%. De igual manera, en un estudio de caso, que se logró una relación canina y molar de Clase I y se estableció una oclusión ideal. Los resultados esqueléticos y dentales se mantuvieron estables tres años después 12.
El éxito en los resultados observados, en el paciente tratado en el caso 1, puede atribuirse a lo que autores como 6 13 14 consideran como la efectividad de los microtornillos como anclaje ortodóntico capaz de proporcionar anclaje máximo durante el tratamiento. En este sentido, se hace especial referencia al uso de los microtornillos infracigomáticos en sus procedimientos de Ortodoncia.
Es importante señalar el papel de la cefalometría, en el diagnóstico, control y evaluación final del tratamiento en cada caso clínico, en la medida en que el especialista en Ortodoncia tiene acceso a información precisa y cuantificable sobre las relaciones dentoesqueléticas y faciales del paciente podrá realizar un diagnóstico más efectivo, así como también una supervisión y evaluación de los resultados 15.
CONCLUSIONES
La biomecánica del tratamiento ortodóntico debe ser personalizada, basada en los objetivos específicos del paciente, lo que asegura un mejor control de las fuerzas y resultados más efectivos en el tratamiento de maloclusiones de Clase II.
La distalización de molares maxilares mediante microimplantes se presenta como una técnica eficaz y rápida, que reduce el tiempo de tratamiento y evita cambios faciales drásticos, lo que la convierte en una alternativa estética favorable frente a las extracciones dentales.
Los microtornillos ofrecen un excelente anclaje ortodóntico, proporcionando mayor estabilidad en el tratamiento sin comprometer la estética del paciente, siendo especialmente útiles en pacientes que rechazan extracciones por motivos estéticos o de autoestima.
Es fundamental realizar un diagnóstico exhaustivo para establecer un plan de tratamiento personalizado, minimizando riesgos y asegurando que las decisiones terapéuticas, como extracciones o el uso de microimplantes, se ajusten a las necesidades individuales de cada paciente.
Comparativamente, el uso de microimplantes mostró resultados más estables y estéticos, sin alteraciones drásticas en el perfil facial, mientras que las extracciones, si no son necesarias, pueden generar complicaciones o afectaciones negativas en la armonía facial del paciente.
CONFLICTO DE INTERÉS
Los autores declaran que no tienen conflicto de interés en la publicación de este artículo
FINANCIAMIENTO
Autofinanciado
AGRADECIMIENTO
A la Unidad Académica de Posgrado de la Universidad Católica de Cuenca por incentivar la investigación.
REFERENCIAS
1. Torres EVP. Anclaje ortodóntico mediante el uso de microimplantes. [Universidad de Guayaquil [Orthodontic anchorage using micro-implants. [University of Guayaquil]. Facultad Piloto de Odontología]. In Universidad de Guayaquil. 2020; https://n9.cl/vrgsy
2. Pulgarín Fernández CM, Campoverde Torres CH, Zapata Hidalgo CD, Calderon Barzallo ML, Ramos Montiel RR. Capítulo 5. Estimación tridimensional de la porción condilar en adultos jóvenes con normo-oclusión de la ciudad de Cuenca-Ecuador [Three-dimensional estimation of the condylar portion in young adults with normo-occlusion in the city of Cuenca-Ecuador]. Sociedad Del Conocimiento: Resultados de Investigaciones Universitarias. 2023;120-139. https://n9.cl/6890sf
3. Ramos Montiel RR. Theoretical epistemic foundation of the maxillofacial cranio-cervico diagnosis Fundamento teórico epistémico del diagnóstico cráneo-cérvico maxilofacial. Rev Mex Ortodon. 2022;7(4):180-182. www.medigraphic.com/ortodoncia
4. Solano Reina E. Protocolo de distalamiento molar con ortodoncia invisible y aparatología auxiliar en la corrección de clases II. Revisión de la literatura [Molar distalisation protocol with invisible orthodontics and auxiliary appliances in Class II correction. Literature review]. In Deposito de Investigación, Universidad de Sevilla. 2020. https://n9.cl/xouv1
5. Bustamante Quichimbo DdC, Puebla Ramos L, Pesantez Solano SM, Ramos Montiel RR. Capítulo 3. Etiología, clasificación, diagnóstico y tratamiento de las maloclusiones en niños mediante el uso de aparatos bimaxilares de ortopedia funcional maxilar [Chapter 3. Aetiology, classification, diagnosis and treatment of malocclusions in children using bimaxillary functional maxillary orthopaedic appliances]. Sociedad Del Conocimiento: Resultados de Investigaciones Universitarias. 2023;76-101.
6. Gutiérrez Belén Milagros L, Puebla Ramos L, Roossevelt Ramos Montiel R, Milagros B, Ramos P. Posición vestíbulo-palatina de primeros molares maxilares permanentes en individuos clase I esqueletal mediante CBCT [Vestibulo-palatal position of permanent maxillary first molars in skeletal class I individuals by CBCT]. Anatomía Digital. 2022;5(3):179-194. https://doi.org/10.33262/anatomiadigital.v5i3.2211
7. Cheng HC WY. Effect of nonextraction and extraction orthodontic treatments on smile esthetics for different malocclusions. American Journal Orthodontics and Dentofacial Orthopedics. 2018;81-86. https://n9.cl/63799q
8. Jawale B. Correction of bimaxillary dentoalveolar protrusion in a growing male with class I malocclusion by extraction of premolars and profile improvement using conventional fixed orthodontic treatment-A case report on orthodontic camouflage. Indian Journal of Orthodontics and Dentofacial Research. 2020;6(3):157-162. https://n9.cl/57daq
9. Orta Rentería IA, Martínez Contreras SP, Donjuán Villanueva JJ. Tratamiento ortodóncico no quirúrgico de clase II con aparatología de autoligado [Non-surgical orthodontic treatment of Class II with self-ligating appliances]. Revista TAME. 2020;1052-1055. https://n9.cl/2b9js
10. Iglesias Alvaracín MK. Cambios del perfil facial posterior al tratamiento De ortodoncia en pacientes con extracción de Premolares en el período 2011- 2018 [Changes in facial profile after orthodontic treatment in patients with premolar extraction in the period 2011- 2018] [Universidad Nacional de Chimborazo]. 2019. https://n9.cl/xksar
11. Vidal DávilaTA, Ávila Carrasco JM, Barzallo Sardi V. Extracciones en ortodoncia. Revisión bibliográfica [Extractions in orthodontics. Bibliographic review]. Revista Latinoamericana de Ortodoncia y Odontopediatría. 2020. https://n9.cl/ri6zp
12. González Sánchez GE. Espesor óseo de la cresta infracigomática y shelf mandibular para la inserción de microimplantes en tomografía computarizada cone beam [Bone thickness of the infrazygomatic ridge and mandibular shelf for micro-implant insertion on cone beam CT scanning]. Universidad Central del Ecuador Facultad de Odontología Instituto Superior De Investigación Y Posgrado Posgrado De Ortodoncia. 2021. https://n9.cl/fiywt
13. Ruz Duniau C, Barrios Neira P, Terán Quezada K. Efectividad del anclaje ortodóntico con microtornillos en comparación a otras técnicas. Una revisión sistemática [Effectiveness of orthodontic anchorage with micro-screws compared to other techniques. A systematic review]. Odontologia Pediatrica. 2021;29(5):79-85. https://acortar.link/dG4lxt
14. Gil Ramos LV, Maestre Polanco VA, Herrera Herrera A. Factores que inciden sobre el éxito y/o fracaso de mini-implantes en ortodoncia: una revisión sistemática exploratoria [Factors influencing the success and/or failure of mini-implants in orthodontics: an exploratory systematic review]. Duazary. 2022;19(3):229-242. https://n9.cl/5pu2jr
15. Cacciola D, Muñoz Gómez G. Relación entre periodoncia y ortodoncia: Complicaciones gingivales y efectos del tratamiento ortodóncico en el periodonto [Relationship between periodontology and orthodontics: Gingival complications and the effects of orthodontic treatment on the periodontium]. Revista de La Facultad de Ciencias de La Salud. 2018;13(2):1-13. https://n9.cl/9y3rm
©2024 por los autores. Este artículo es de acceso abierto y distribuido según los términos y condiciones de la licencia Creative Commons Atribución-NoComercial-CompartirIgual 4.0 Internacional (CC BY-NC-SA 4.0) (https://creativecommons.org/licenses/by-nc-sa/4.0/)