https://doi.org/10.35381/s.v.v8i1.3869
Extraccion dental en un paciente con periodontitis crónica severa generalizada. Reporte de un caso
Tooth extraction in a patient with severe chronic generalized periodontitis. Case report
Adriana Nicole Tobar-Peñaherrera
oa.adrianantp05@uniandes.edu.ec
Universidad Regional Autónoma de los Andes, Ambato, Tungurahua, Ecuador
https://orcid.org/0000-0002-6115-3970
Universidad Regional Autónoma de los Andes, Ambato, Tungurahua, Ecuador
https://orcid.org/0000-0001-5026-3528
Revisado: 10 de diciembre 2023
Aprobado: 15 de enero 2024
Publicado: 01 de febrero 2024
RESUMEN
Objetivo: Presentar un reporte de caso sobre extracción dental en un paciente con periodontitis crónica severa generalizada. Método: Reporte de caso. Conclusión: La extracción dental de la pieza 1.2, con pronóstico desfavorable se llevó a cabo por el grado de afección periodontal y endodóntica del progreso, determinando en el diagnóstico clínico descrito anteriormente, ya que, a pesar de haber recibido terapia periodontal anteriormente, generaba molestias y complicaciones tanto biológicas como mecánicas en el día a día del paciente, siendo de esta forma una pieza no funcional.
Descriptores: Extracción dental; extracción seriada; ortodoncia correctiva. (Fuente: DeCS).
ABSTRACT
Objective: To present a case report on tooth extraction in a patient with severe chronic generalised periodontitis. Method: Case report. Conclusion: The dental extraction of tooth 1.2, with an unfavourable prognosis, was carried out due to the degree of periodontal and endodontic affection of the progress, determined by the clinical diagnosis described above, as, despite having received periodontal therapy previously, it generated discomfort and complications both biological and mechanical in the patient's day-to-day life, and was thus a non-functional tooth.
Descriptors: Tooth extraction; serial extraction; orthodontics corrective. (Source: DeCS).
INTRODUCCIÓN
La periodontitis es la respuesta inflamatoria del periodonto de inserción ante la presencia de bacterias porphyromonas gingivalis, treponema denticola y tannerella forsythia producidas en la placa y sarro alojado en el área subgingival o supragingival, mismas que afectan de forma avanzada a los tejidos de revestimiento y sostén del órgano dental, caracterizada por encías con coloración rojiza, textura blanda y sangrante, acompañada de bolsas periodontales con sondaje más de 4 mm, afección del hueso alveolar e inflamación de los tejidos de sostén evidente en el examen radiológico. Su tratamiento tiene el objetivo de eliminar la etología bacteriana, con el fin de frenar su evolución y poder conservar a las piezas dentales. 1 2 3 4 5
De este modo se hace énfasis en la periodontitis crónica, la cual, al ser de progresión lenta, se presenta en pacientes de 35 años en adelante, por la gran acumulación de placa y formación de cálculo, mismos que son foco de destrucción tisular según su grado de desarrollo. En estos casos depende de la edad del paciente, estado sistémico, hábitos de cuidado e higiene, el estado de los remanentes dentarios, el grado de inflamación gingival y el cumplimiento por parte del paciente para poder determinar el pronóstico. Por lo tanto, si no se trata a tiempo puede ocasionar la perdida dentaria y perjudicar la salud del paciente. 6 7 8 9 10
No obstante, en estos casos de periodontitis crónica el abordaje inicial indicado es la terapia antibiótica, junto con raspado y alisado radicular, a pesar de ello este procedimiento aún mantiene limitaciones en cuanto a la instrumentación en puntos de acceso difícil con bolsas periodontales muy profundas, por dicho motivo se debe complementar con el tratamiento quirúrgico, posterior al tratamiento mencionado si no hubo mejoría tanto en el seguimiento clínico y radiográfico, el pronóstico de las piezas es dudoso o inmantenible dependiendo de la evolución de la lesión y daño presente en los tejidos periodontales. 11 12 13 14 15
Se tiene por objetivo presentar un reporte de caso sobre extracción dental en un paciente con periodontitis crónica severa generalizada.
PRESENTACIÓN DEL CASO
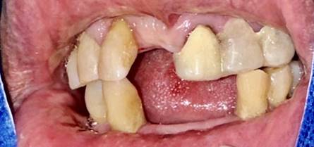
Paciente de sexo masculino, de 80 años, acude a la consulta refiriendo problemas en la masticación a causa de la pérdida avanzada dental, durante la apertura de la historia clínica en la anamnesis no refirió antecedentes patológicos personales, mientras que en los antecedentes patológicos familiares informo que sus padres tenían hipertensión arterial; además refirió antecedentes de enfermedad periodontal y un tratamiento previo hace 8 meses. En el examen extraoral no muestra patología aparente, mientras que en el examen intraoral presenta encías inflamadas, sangrado espontáneo, retracción gingival, acumulación de cálculo, bolsas periodontales de 6 mm, movilidad de las piezas dentales 4.3 y 4.4 del cuadrante inferior derecho con movilidad grado 3, y en el cuadrante superior derecho las piezas dentales 1.2 y 1.7 con movilidad grado 2 (Figura 1).

Figura 1. Fotografía intraoral de las arcadas superior e inferior. Se observan espacios edéntulos y puente provisional de acrílico.
Elaboración: Los autores.
Se aprecia la presencia de espacios desdentados en la arcada superior derecha de las piezas 1.1, 1.6, en el cuadrante superior izquierdo las piezas 2.2, 2.4, 2.5, 2.6, 2.7, en cuanto al cuadrante inferior derecho están ausentes las piezas 4.1, 4.2, 4.5, 4.6, 4.7, mientras que en el cuadrante inferior izquierdo las piezas ausentes son 3.1, 3.2, 3.6, 3.7, motivo por el cual presenta piezas extruidas por falta de contacto oclusal.
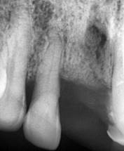
El paciente no refiere odontalgia, por lo que se presenta aparentemente asintomático al examen clínico. Dentro de las pruebas complementarias, se realizó la toma de una radiografía panorámica, donde se evidencio sobras radiolúcidas compatibles con reabsorción de la cresta ósea alveolar con patrón horizontal y vertical generalizado, también se visualizan sombras radiolúcidas alrededor de las raíces de las unidades dentales 1.2, 2.1 y 2.3, compatibles con procesos infecciosos y ensanchamiento del ligamento periodontal; además en la pieza 1.2 se complementó con una radiografía periapical en donde se observa una sombra radiopaca a nivel del tercio apical en el conducto radicular lo que podría indicar una posible calcificación y una sombra radiolúcida que rodea la raíz dental compatible con el posible ensanchamiento del ligamento periodontal; razón por la cual existe movilidad y menor soporte (Figura 2).


Figura 2. Radiografía panorámica y periapical de la pieza N.º 1.2
Elaboración: Los autores.
Para establecer el diagnóstico periodontal los valores obtenidos de la profundidad del sondaje, margen gingival, nivel de inserción, movilidad y línea mucogingival ayudaron a determinar que el paciente presenta periodontitis crónica severa generalizada según la clasificación de 1999 y endodónticamente al realizar pruebas de vitalidad a la pieza dental 1.2. Se presentó ausencia de respuesta lo que indica necrosis pulpar y periodontitis apical asintomática, de acuerdo a estos diagnósticos se le manifestó al paciente un plan de tratamiento basado en primera instancia la realización de una profilaxis, seguido de un raspado y alisado radicular con el fin de realizar una profunda eliminación de la placa alojada y mejorar el estado periodontal, el cual fue aprobado por el paciente. Posteriormente se evaluó la pieza 1.2, donde se determinó su extracción, ya que no fue posible realizar una endodoncia por el estado de afección y calcificación del conducto radicular, asimismo, el grado de comprometimiento del tejido periodontal avanzado, dando un pronóstico desfavorable. Se llevaron a cabo dos citas, en la primera se realizó una profilaxis, posteriormente raspado y alisado radicular.


Figura 3. Periodontograma de la pieza 1.2
Elaboración: Los autores.
PROCEDIMIENTO QUIRÚRGICO
En la segunda cita previa profilaxis antibiótica de amoxicilina por vía oral de 1g cada 12 horas, 2 días antes de la intervención. Se realizó la toma de signos vitales, luego una correcta asepsia de la zona operatoria y antisepsia extrabucal e intrabucal, se aplicó anestesia tópica y posterior anestesia local, técnica supraperióstica infiltrando lidocaína al 2% con epinefrina 1:100,000; en los nervios dentario anterior con refuerzo en el nervio nasopalatino, posteriormente se realizó la extracción del órgano dentario 1.2.
Ejecución de tiempos quirúrgicos:
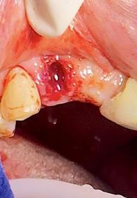
Sindesmotomía con un periostótomo de molt # 9, posteriormente se realizó la luxación con un elevador recto, buscando el punto de apoyo, seguido se efectuó la prensión con el fórceps 150 en el diente con sumo cuidado de no tocar la encía colocándolo hasta el cuello dental, haciendo movimientos de lateralidad y rotación hasta lograr la dilatación del alveolo, y finalmente la tracción del órgano dentario, observando que la raíz este integra, y que estructuras alrededor estén conservadas, de la misma forma se revisó el alveolo en busca de la presencia de granulomas o espículas óseas, una vez ya revisado se procedió al curetaje, con una cucharilla de lucas, se introdujo y se dio paso al retiro del exudado purulento, se realizó irrigación del alveolo con solución fisiológica, una vez limpio se realizó una sutura simple con sutura nylon, seda # 3/0 en el medio del alveolo con la finalidad de aproximar rebordes, evitar su contaminación por el ingreso de comida, además generar una mejor cicatrización en una zona estética , finalmente se aplicó presión por medio de una gasa que mordió el paciente por un lapso de 30 minutos, para contribuir con una hemostasia adecuada.

Figura 6. Sindesmotomía, luxación y prensión del incisivo lateral superior derecho pieza N.º 1.2
Elaboración: Los autores.

Figura 7. Exodoncia de la unidad dental, revisión del alveolo, curetaje y retiro de exudado purulento con cucharilla de lucas.
Elaboración: Los autores.

Figura 8. Irrigación del alveolo con solución fisiológica y sutura simple en la mitad del alveolo.
Elaboración: Los autores.
Finalmente se prescribió al paciente ibuprofeno de 600 mg por cuatro días, se le manifestó instrucciones postoperatorias y control para remoción de puntos en una semana.
CONCLUSIONES
La extracción dental de la pieza 1.2, con pronóstico desfavorable se llevó a cabo por el grado de afección periodontal y endodóntica del progreso, determinando en el diagnóstico clínico descrito anteriormente, ya que, a pesar de haber recibido terapia periodontal anteriormente, generaba molestias y complicaciones tanto biológicas como mecánicas en el día a día del paciente, siendo de esta forma una pieza no funcional.
Debido a la edad del paciente conlleva riesgos que se tomaron en cuenta como la probabilidad de fractura del hueso alveolar, alteración morfológica de la ATM, adelgazamiento de la mucosa, engrosamiento y retracción de los tejidos periodontales, por dicho motivo bajo una evaluación clínica y radiográfica, se tomó la decisión de extraer la pieza dental con el fin de mejorar la calidad de vida, cabe destacar que durante todo el proceso de extracción dental no se presentaron complicaciones, además se realizó un seguimiento del paciente post extracción observando un buen progreso con resultados óptimos y conservación de estructuras anatómicas en zona estética para una futura rehabilitación.
Los autores declaran que no tienen conflicto de interés en la publicación de este artículo.
FINANCIAMIENTO
Autofinanciado.
AGRADECIMIENTO
A todos los actores sociales involucrados en el desarrollo de la investigación.
REFERENCIAS
©2024 por los autores. Este artículo es de acceso abierto y distribuido según los términos y condiciones de la licencia Creative Commons Atribución-NoComercial-CompartirIgual 4.0 Internacional (CC BY-NC-SA 4.0) (https://creativecommons.org/licenses/by-nc-sa/4.0/).