DOI: http://dx.doi.org/10.35381/s.v.v3i6.339
Avances de la odontopediatria y su relación con la ortodoncia presente y futuro
Advances in pediatric dentistry and its relationship with present and future orthodontics
Carmen Julia Espinoza Arias
Universidad Laica Eloy Alfaro De Manabí
Ecuador
https://orcid.org/0000-0002-5720-3795
Diana Karolina Rivera Pico
Universidad Laica Eloy Alfaro De Manabí
Ecuador
https://orcid.org/0000-0002-7189-1176
María Fernanda Carvajal Campos
Fernandacarvajal86@hotmail.com
Universidad Laica Eloy Alfaro De Manabí
Ecuador
https://orcid.org/0000-0003-2050-6853
Recibido: 15 de mayo de 2019
Aprobado: 10 de junio de 2019
RESUMEN
La odontología pediátrica ha visto mejoras considerables en materiales y opciones de tratamiento en los últimos años. Mientras que otras especialidades dentales han experimentado enormes avances en sus materiales y métodos en los últimos cuarenta años, la odontología pediátrica ha evolucionado mucho más lentamente. Aunque se ha tenido éxito con los tratamientos del pasado, las opciones menos invasivas que involucran menos y más productos químicos biocompatibles solo pueden beneficiar a nuestros pacientes y nuestra práctica de la odontología. Este artículo se centrará en los siguientes desarrollos nuevos en odontología pediátrica: tratamiento pulpar menos invasivo, el cambio de formocresol a ATM, restauraciones bioactivas y fluoruro de diamina de plata. Por últimos se presentan los cincos avances en odontpediatra que más entusiasman en la actualidad.
Descriptores: Avances; Pediatría; Odontología; Excavación; Caries.
ABSTRACT
Pediatric dentistry has seen considerable improvements in materials and treatment options in recent years. While other dental specialties have experienced tremendous advances in their materials and methods in the last forty years, pediatric dentistry has evolved much more slowly. Although we have had success with past treatments, less invasive options that involve less and more biocompatible chemicals can only benefit our patients and our practice of dentistry. This article will focus on the following new developments in pediatric dentistry: less invasive pulp treatment, the change from formocresol to ATM, bioactive restorations and silver diamine fluoride. Finally, the five advances in dentistry that excite today are presented.
Descriptors: Advances; Pediatrics; Dentistry; Excavation; Caries.
INTRODUCCIÓN
Lo que es bueno para los pacientes es bueno para la profesión de dentista. La necesidad de realizar una excavación completa de caries y una pulpotomía terapéutica por la cercanía a la pulpa, cuyo proceso de pensamiento había existido durante muchos años, era la forma en que siempre se hizo. Ahora que han surgido numerosos estudios que afirman que la terapia pulpar indirecta es más exitosa que las pulpotomías terapéuticas (Farooq et al., 2000), los médicos se sienten cómodos con la realización de este procedimiento menos invasivo en ausencia de signos o síntomas de pulpitis irreversible.
Cuando se indica una pulpotomía, la mayoría de los profesionales están usando formocresol, un medicamento bastante controvertido. Formocresol se ha utilizado durante décadas en la terapia pulpar con muchos estudios que indican que es seguro si se usa de la manera correcta (Milnes, 2006). Sin embargo, es un "químico tóxico" con una "mala reputación" cuando se mira a través del ojo público. Si se puede usar un material que proporcione resultados iguales o mejores (Peng) y es menos tóxico. Hay dos alternativas principales al formocresol para las pulpotomías terapéuticas: sulfato férrico y agregado de trióxido mineral (ATM). Existen numerosos estudios en la literatura que muestran que el sulfato férrico tiene el mismo éxito en comparación con el formocresol; Sin embargo, tiene una reputación entre muchos usuarios de que conduce a una mayor incidencia de reabsorción interna. Muchos practicantes cambiaron al sulfato férrico, se frustraron al ver una falla radiográfica y están volviendo a su probado y verdadero formocresol. Al considerar la ATM, la razón número uno por la que los profesionales no la están utilizando es el costo.
Ahora que hay opciones rentables de ATM, todos deberíamos considerar cambiarnos. La investigación muestra que ATM tiene la mayor tasa de éxito de cualquier material utilizado en la terapia pulpar. Quizás el siguiente beneficio más importante de usar ATM en pulpotomías es el hecho de que forma el sello pulpar protector definitivo y puede seguirse con más opciones cosméticas en comparación con las coronas de acero inoxidable. En pocas palabras, el enemigo de la terapia primaria de la pulpa dental es la fuga; por lo tanto, las coronas de acero inoxidable se han recomendado durante mucho tiempo después de la terapia pulpar. Estudio tras estudio muestra que las pulpotomías de formocresol tienen una tasa de éxito mucho mayor cuando son seguidas por coronas de acero inoxidable frente a otras opciones de restauración. Con el uso de ATM, el profesional puede sentirse más cómodo restaurando dientes seleccionados con su material de elección. Biodentine de Septodont es un sustituto de ATM que puede usarse en pulpotomías terapéuticas. NeoATM by NuSmile es un ATM que es el ATM menos costoso del mercado. Hay muchas referencias excelentes disponibles si los profesionales hacen su debida diligencia antes de elegir un material. Insto a los lectores a mirar ATM como otra opción.
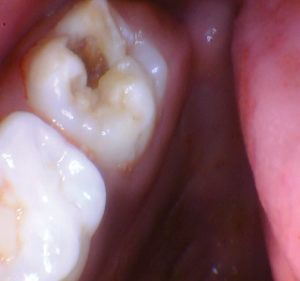
Caso 1
Un paciente de 8 años presentó descomposición de OD en un primer molar primario con síntomas de pulpitis reversible. El diente fue el tratamiento planificado para una restauración de OD con Activa Bioactive Restorative (Pulpdent). Tras la excavación por descomposición, se produjo una exposición pulpar que requirió una pulpotomía terapéutica. Debido a la edad del paciente, me sentí cómodo con una pulpotomía terapéutica con Biodentine (Septodont) seguida de una restauración estética. Si el paciente hubiera tenido entre cuatro y cinco años, me habría restaurado con una corona de acero inoxidable debido a su historial comprobado de longevidad.
Las mejoras en los materiales compuestos a base de resina ahora brindan a los profesionales materiales "activos" y opciones de relleno a granel que ofrecen una mayor eficiencia y previsibilidad al restaurar dientes cariados. Es importante recordar que los compuestos tradicionales son materiales inertes y pasivos. La dieta moderna, rica en bebidas ácidas y otros refrigerios cargados de azúcar, presenta un desafío que balancea el péndulo a favor de la descomposición recurrente. Cuando un profesional considera opciones de restauración para los dientes primarios, deben considerarse los hábitos alimenticios y la higiene bucal.
Los ionómeros de vidrio y los ionómeros de vidrio modificados con resina han sido durante mucho tiempo alternativas a los compuestos a base de resina debido a su alta liberación de fluoruro para los dientes susceptibles a la caries recurrente. Si bien los GI y los RMGI tienen beneficios comprobados, también carecen de ciertas características que son deseables en las restauraciones pediátricas: longevidad, resistencia a la compresión y resistencia a la fractura. Pulpdent ha introducido una alternativa con su gama de productos Activa Bioactive.
Activa es un material a base de uretano que no contiene bisfenol A ni derivados de BPA. Libera y recarga calcio, fosfato y fluoruro, que son invaluables para la remineralización y para prevenir la descomposición recurrente. Una propiedad física única de Activa es la resistencia a la fractura muy alta que resulta de una molécula patentada de uretano recubierto de goma insertada en la matriz de resina. La resistencia a la compresión es comparable a los compuestos tradicionales a base de resina. Por lo tanto, piense en Activa como un material con propiedades bioactivas mayores que los GI y RMGI, y propiedades físicas comparables a los compuestos tradicionales a base de resina.
|
|
|
|
Figura 1 Vista preoperatoria del primer molar primario superior. |
Figura 2. La exposición pulpar se produjo al excavar la dentina infectada (la exposición pulpar no se capturó en la foto). |
|
|
|
|
Figura 3. Después de quitar el techo de la cámara pulpar. |
Figura 4. Después de excavar el tejido pulpar en los orificios del canal, se utilizó una prenda de algodón seco para evaluar la salud de la pulpa mediante la aplicación de hemostasia por presión. |
|
|
|
|
Figura 5. Esta pulpa exhibió una pulpa radicular sana como lo demuestra el sangrado fácilmente controlado. |
Figura 6. Se colocó una capa de 2-3 mm de Biodentine seguida de una capa de Ionoseal (Voco) para evitar el lavado de ATM al proceder con el proceso de restauración. |
|
|
|
|
Figura 7. Después del ataque
con ácido y el uso del agente de unión Scotchbond Universal (3M), los dos
molares primarios superiores se restauraron con Activa Bioactive Restorative
A2. |
|
Caso 2
Un nuevo paciente de 7 años presentó una importante descomposición e hipocalcificación en el primer molar permanente superior derecho. Durante mucho tiempo se ha demostrado que los primeros molares permanentes cariados e hipocalcificados en pacientes pediátricos le dan al profesional un dilema restaurador difícil. ¿Deberíamos intentar prepararnos y restaurarlos conservadoramente? ¿Deberíamos ser más agresivos y restaurar con una cobertura completa como una corona de acero inoxidable bien adaptada? Activa proporciona una gran alternativa en estos casos, con liberación de calcio, fosfato y fluoruro junto con alta resistencia y resistencia a la fractura.
|
|
|
|
Figura 1. Después del ataque ácido y el uso del agente de unión Scotchbond Universal (3M), los dos molares primarios superiores se restauraron con Activa Bioactive Restorative A2. |
Figura 2. Una vez que se excavó la descomposición y se colocaron los márgenes en superficies sólidas, se colocó un bisel pesado en el esmalte para aumentar la resistencia de la unión y la integridad marginal. El área oscura central era sólida. El diente estaba revestido con una base / revestimiento Activa. |
|
|
|
|
Figura 3. Después del grabado selectivo y el uso de Scotchbond Universal, el diente se restauró con Activa Restorative A2. |
Figura 4. El seguimiento de 18 meses no mostró fracturas y márgenes intactos. |
Caso 3
La caries recurrente en un diente primario que involucra múltiples superficies generalmente conduce a una cobertura total y con razón. Sabemos que los materiales a base de resina tienen fugas en ambientes hostiles ácidos y acribillados de sacarosa; por lo tanto, se recomienda una cobertura total en estos casos. ¿Qué pasaría si pudiéramos restaurar con un material más estético para los padres estéticos? En estos casos estéticos, todavía necesitamos resistencia y un material activo no inerte.
|
|
|
|
Figura 1. Fotografía preoperatoria del segundo molar primario superior derecho con caries distoocluso-bucal. En el pasado, al menos para mí, el tratamiento habría sido una corona de cobertura total (probablemente de acero inoxidable). Debido a las preocupaciones estéticas de los padres, es bueno tener una opción alternativa, especialmente un material que sea activo dentro del entorno oral. |
Figura 2. La caries se excavó y se eliminó todo el esmalte socavado. |
|
|
|
|
Figura 3. Se colocaron una banda y una cuña. Activa Bioactive Restorative A2 fue colocado, curado, acabado y pulido. |
|
Caso 4
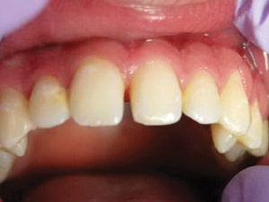
Este adolescente de 16 años tuvo una recaída post-ortodoncia de un diastema de la línea media y era consciente del espacio. Se dieron opciones para cerrar el espacio, incluyendo seis meses de corrección de ortodoncia versus corrección restaurativa con restauraciones directas. Debido a la forma larga y delgada de sus incisivos centrales, el paciente, su madre y yo acordamos que la mejor opción sería la corrección restauradora.
La introducción de Advantage Arrest con fluoruro de diamina de plata (FDP) por Elevate Oral Care ha proporcionado un enfoque medicinal para el tratamiento de lesiones cariosas. FDP es un líquido de fluoruro a base de plata que se usa para detener las lesiones cariosas desnaturalizando y descomponiendo las bacterias en la lesión infectada. Lo que hace que FDP sea un complemento de la atención restauradora es su capacidad de penetrar los túbulos dentinarios y prevenir la sensibilidad en lesiones profundas cuando se usa en terapia pulpar indirecta. FDP, cuando se usa solo, tiene la capacidad de detener lesiones incipientes. El arresto de estas lesiones tiene el potencial de eliminar la necesidad de tratamiento bajo anestesia general o atención restaurativa en niños pequeños que no pueden cooperar en un entorno dental normal. En mi experiencia, FDP tiene limitaciones definidas y no es una "bala de plata". La profundidad de penetración es un problema en las lesiones profundas con poco acceso a la extensión completa de la lesión, aquellos casos con una pequeña abertura de acceso que se expande y se “hincha” en el DEJ. Si la lesión está dentro de la dentina, la profundidad de la lesión debe estar completamente expuesta, para que FDP realmente detenga la caries.
|
|
|
|
Figura 1. Foto preoperatoria de un diastema de 2.75 mm en un adolescente preocupado (recaída post ortodóntica). |
Figura 2. Después de la colocación de dos matrices Bioclear, los dientes se biselaron ligeramente, se grabaron con ácido y se unieron con Scotchbond Universal. Activa Bioactive Restorative A2 fue colocado y curado. Las restauraciones de los dientes fueron terminadas y pulidas. |
|
|
|
|
Figura 3. Cuando uso Activa, se notó una naturaleza de mezcla y camaleón del material. Por lo general, combina maravillosamente con el esmalte cuando se coloca como una restauración de un tono en la parte anterior. Se colocó un retenedor fijo 1-1 después de las restauraciones para evitar recaídas adicionales. |
|
Caso 5
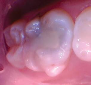
Una adolescente de 13 años presentada para un nuevo examen de paciente. Se observó una gran lesión cariosa en el primer molar permanente superior izquierdo, que presentaba síntomas de pulpitis reversible. Las opciones de tratamiento se discutieron con la paciente y su madre. Mis objetivos personales para este caso eran evitar la exposición de la pulpa y restaurar la forma y la función.
|
|
|
|
Figura 1. Presentación
clínica inicial del primer molar permanente superior izquierdo con caries
oclusal. |
Figura 2. Cuando la lesión
estaba sin techar, era evidente que había una lesión amplia y profunda. |
|
|
|
|
Figura 3. Con una forma de
conveniencia óptima lograda, las paredes periféricas y DEJ fueron excavadas a
fondo. La dentina afectada permanecía en el piso pulpar para evitar una
exposición pulpar. |
Figura 4. Se usó un microcepillo para aplicar fluoruro de diamina de plata a la dentina afectada. |
|
|
|
|
Figura 5. Ionoseal se colocó
en el piso pulpar y se curó, lo que aceleró la exposición del precipitado de
iones de plata (como lo demuestran los depósitos negros). |
Figura 6. El restaurador
bioactivo Activa fue colocado, curado y terminado. La decoloración FDP
que se muestra a través de la restauración es definitivamente un compromiso
estético; sin embargo, los beneficios de FDP en este caso deberían
proporcionar longevidad y restaurar la forma y la función en los años
venideros. En retrospectiva, se podría haber usado un opaquer para
enmascarar la mancha de plata haciendo que la restauración sea más estética. |
Caso 6
Una niña de 2 años presentó lesiones cariosas en todos sus molares primarios. Las opciones de tratamiento se discutieron con el cuidador principal del paciente, que incluyó: atención domiciliaria mejorada solamente, anestesia general para atención restaurativa o tratamiento con fluoruro de diamina de plata. El médico del paciente eligió el fluoruro de diamina de plata.

Figura 1. Presentación posterior a FDP de los molares primarios inferiores derechos que muestran lesiones detenidas.
El ambiente oral es duro, especialmente con las dietas altas en ácido y alta en sacarosa que vemos hoy en nuestras oficinas. A medida que los materiales continúan avanzando, es crucial para nuestros pacientes que sigamos evolucionando y proporcionemos los materiales mínimamente invasivos más avanzados disponibles. A medida que mejoran los materiales dentales, también debería mejorar nuestra educación sobre salud bucal para nuestros pacientes. Con la adición de estos materiales, tenemos opciones de tratamiento restaurador que nunca antes habíamos tenido. Esto es beneficioso para nosotros y para nuestros pacientes.
AVANCES DENTALES PEDIÁTRICOS QUE MÁS ENTUSIASMAN
El campo de la odontología pediátrica está en constante evolución. Cuando se trabaja con niños, la comodidad, la eficiencia, la seguridad y los tratamientos conservadores son el nombre del juego. Por supuesto, esto también es válido para los adultos, pero comenzar a los niños con el pie derecho con visitas al dentista y hacer que la experiencia libre de estrés para los pacientes y los padres sea especialmente importante. Aquí hay algunos avances dentales pediátricos que más entusiasman:
1. Detección temprana de cavidades con sorprendentes herramientas de diagnóstico e imagen: Los dientes de leche son importantes, ya que allanan el camino para que los dientes permanentes salgan correctamente y ayudan a masticar, así como al desarrollo facial y del habla. Además, una sonrisa saludable y hermosa le da confianza a los niños. Por eso es importante abordar la caries dental en los dientes primarios. Sin embargo, hacer un trabajo dental extenso en niños no es lo ideal. Capturar la descomposición desde el principio es muy beneficioso. Significa que el tratamiento será más fácil, más rápido, más económico y menos invasivo. El diente de leche puede conservarse y caerse por sí solo, manteniendo el desarrollo oral de un niño en el buen camino. En algunos casos, incluso podemos evitar el tratamiento restaurador por completo y ver la descomposición emergente tan temprano que se puede revertir con atención preventiva.
Debido a esto, las nuevas herramientas de diagnóstico que dependen de la transiluminación para identificar las caries se encuentran entre nuestros avances dentales pediátricos favoritos. La transiluminación es un término grande y elegante que significa que hacemos brillar una luz a través de los dientes para ver qué sucede dentro y entre ellos. La luz no emite ninguna radiación. Hace que el esmalte se vea transparente y las grietas y la descomposición aparecen oscuras. Cuando la transiluminación se usa junto con rayos X, el dentista no se pierde nada. En el pasado, si se detectaba un área de preocupación, los dentistas tenían que tomar más radiografías para obtener una imagen más clara, exponiendo a los niños a radiación adicional. Ahora, no necesitamos hacer eso y los dientes sanos no se diagnostican erróneamente.
La utilizacio de DEXIS CariVu ™ en Odontología Pediátrica Innovadora, el cual es un dispositivo portátil que utiliza luz segura, cercana al infrarrojo, para detectar la descomposición, incluso en áreas que no siempre aparecen en los rayos X. Solo toma un minuto y es cómodo. Para los niños que se someten a sus exámenes regulares, las caries se diagnostican extremadamente temprano con tecnología como CariVu , que mantiene saludables los dientes pequeños.
2. Sistemas y técnicas de inyección sin dolor: Otro de los principales avances de la odontología pediátrica son las inyecciones indoloras. Cuando un niño necesita tratamiento, la vacuna tiende a provocar más miedo. No es divertido y hace que los niños teman visitar al dentista. Afortunadamente, existen sistemas y técnicas de inyección oral indoloras que pueden usarse para mejorar la experiencia del paciente. Se confía en estas herramientas y métodos para reducir la cantidad de anestesia necesaria, eliminar algunos de los "pellizcos" que se sienten y aliviar la ansiedad dental en los niños. Las inyecciones indoloras permiten completar los procedimientos más rápidamente y con un mejor cumplimiento del paciente.
Para los niños que tienen una verdadera fobia dental, son muy pequeños y necesitan múltiples tratamientos o aquellos con necesidades especiales de atención médica, otra opción para un tratamiento seguro y efectivo es la odontología de sedación. El óxido nitroso e incluso la anestesia general han llegado a la odontología pediátrica. Los pacientes no sienten nada y, a menudo, no recuerdan la cita. Se puede hacer todo en una sola visita. Incluso si se cuenta con un anestesiólogo certificado en el personal que visita la oficina con su equipo para casos especiales que requieren anestesia general. Siempre es bueno discutir los riesgos versus los beneficios con los padres, para que estén informados. Para algunas familias, es la elección correcta y un avance bienvenido en odontología pediátrica.
3. Odontología infantil: Una de las tendencias recientes y futuras en odontología pediátrica es el dimensionamiento infantil de la tecnología dental. Durante años, se usaron herramientas para adultos en niños y aún puede ser un problema cuando se lleva a los niños a los dentistas generales en lugar de a un consultorio pediátrico. Un gran ejemplo de los esfuerzos para ajustar la medicina y la odontología para niños es la campaña Image Gently. Aboga por el uso de los receptores de imágenes más rápidos y de alta tecnología para los rayos X, realizando rayos X solo cuando sea necesario y no como una rutina, disminuyendo el tiempo de exposición para los niños y utilizando protección como los collares tiroideos. Se sigue las pautas de cerca y se utilizan sensores de pie, que son sensores digitales pequeños y del tamaño de un niño que entran en la boca del niño en lugar de las mordeduras. Hacen las cosas mucho más cómodas y son extremadamente rápidas. Pueden combinase con la máquina portátil de rayos X NOMAD Pro 2, que disminuye el tiempo de exposición y emite una radiación dramáticamente menor que las máquinas convencionales de rayos X de película. El proceso se completa dos veces más rápido que con rayos X regulares y las imágenes son nítidas y claras.
Cuando se necesitan radiografías CT de haz cónico, el sistema i-CAT brinda las imágenes tridimensionales más precisas y sobresalientes. Expone a los niños a la menor cantidad de radiación posible y elimina la necesidad de volver a tomar.
Otros productos nuevos en odontología pediátrica ayudan aún más con el tratamiento de dimensionamiento de niños. Cosas como DryShield tienen pequeñas boquillas y bloques de mordida que vienen en diferentes tamaños diseñados para adaptarse a los niños. Las herramientas utilizadas para los exámenes son más pequeñas y creadas solo para pacientes pequeños. Todo esto nos ayuda a brindar la mejor atención a los niños y hace que la experiencia sea cómoda.
4. Nuevos materiales en odontología pediátrica: Los nuevos materiales en odontología pediátrica están revolucionando la forma en que se cuidan los dientes primarios, desde empastes duraderos del color de los dientes hasta apósitos más seguros para pulpotomías (procedimientos que implican la extracción del tejido blando o pulpa, dentro del diente cuando se infecta y coloca un apósito, o medicación, en la cámara). Las restauraciones ahora no solo son más estéticas, sino también biocompatibles y libres de mercurio y metal. Al hacer empastes, se une la resina del color del diente directamente al diente, lo que restaura la mayor parte de su resistencia y le permite permanecer en su lugar y funcionar normalmente hasta el momento de que se caiga. Si la pulpa de un diente primario se infecta, los medicamentos más nuevos pueden ser tan efectivos como los tratamientos químicos más antiguos, pero tienen un mejor perfil de seguridad.
5. Un cambio hacia la prevención: Se tiene mucho más conocimiento dental que en el pasado, así como acceso a materiales y técnicas mejoradas. Esto ha hecho un cambio hacia la atención preventiva una de las tendencias recientes más notables en odontología pediátrica. No es que los dentistas quisieran tratar a los pacientes de manera más agresiva hace 50 años, pero no tenían las herramientas y la ciencia que se tiene hoy día. Los dentistas pediátricos siempre abogan por un enfoque mínimamente invasivo para mantener la mayor cantidad de dientes intactos posible. Con cosas como barniz de flúor, selladores dentales, CariVu, mantenedores de espacio dental, aparatos que rompen el hábito y radiografías digitales, se puede prevenir problemas dentales o intervenir antes de que sea necesario un tratamiento restaurador. Realmente se ha podido reducir drásticamente la cantidad de procedimientos destinados a reparar daños y, en cambio, centrarnos en la prevención en nuestra oficina. Con visitas regulares y una buena higiene bucal, los niños tienen menos caries y problemas y una mejor experiencia general.
REFERENCIAS BIBLIOGRÁFICAS
1. Farooq, NS, et al. (2000). Tasas de éxito de formocresol pulpotomía y terapia pulpar indirecta en el tratamiento de la caries dentinaria profunda en dientes primarios. Pediatric Dentistry
2. Milnes, A. (2006). Evidencia persuasiva de que el uso de formocresol en odontología pediátrica es seguro. J Can Dent Assoc
3. Peng, L, et al. (2006). Evaluación de la pulpotomía molar primaria de formocresol versus agregado de trióxido mineral: un metanálisis. Oral Surg Oral Med Oral Pathol Oral Radiol Endod.
REFERENCES CONSULTED
1. Farooq, NS, et al. (2000). Success rates of formocresol pulpotomy and indirect pulp therapy in the treatment of deep tooth decay in primary teeth. Pediatric Dentistry
2. Milnes, A. (2006). Persuasive evidence that the use of formocresol in pediatric dentistry is safe. J Can Dent Assoc
3. Peng, L, et al. (2006). Evaluation of the primary molar pulpotomy of formocresol versus aggregate of mineral trioxide: a meta-analysis. Oral Surg Oral Med Oral Pathol Oral Radiol Endod.
©2019 por los autores. Este artículo es de acceso abierto y distribuido según los términos y condiciones de la licencia Creative Commons Atribución-NoComercial-CompartirIgual 4.0 Internacional (CC BY-NC-SA 4.0) (https://creativecommons.org/licenses/by-nc-sa/4.0/).