http://dx.doi.org/10.35381/s.v.v3i6.323
Ortodoncia: Paradigma del siglo XXI
Orthodontics: Paradigm of the XXI century
María Fernanda Carvajal Campos
fernandacarvajal86@hotmail.com
Universidad Laica
Eloy Alfaro de Manabí
Ecuador
https://orcid.org/0000-0003-2050-6853
José Pedro Muñoz Cruzatty
reddeinvestigacionrik@fundacionkoinonia.com.ve
Universidad Laica Eloy
Alfaro de Manabí
Ecuador
https://orcid.org/0000-0001-7756-2990
Zully Azucena Macías Velasquez
Universidad Laica
Eloy Alfaro de Manabí
Ecuador
https://orcid.org/0000-0002-4304-6338
Recibido: 10 de abril de 2019
Aprobado: 20 de mayo de 2019
RESUMEN
En los años recientes, existe una inclinación posmoderna por hacer las cosas de modo fácil, cómodas y rápidas, de esta forma, la ortodoncia ha percibido el efecto de este fenómeno. Los pacientes demandan tratamientos expeditos, estéticos, donde los ortodoncistas actuales desean realizar de igual forma tratamientos más fáciles y menos comprometidos. En este sentido, se han generado una serie de dispositivos diseñados para cumplir con esta finalidad, donde la adaptación a los cambios es primordial, por lo que cada profesional de la ortodoncia debería incluir en sus consultas todas aquellas técnicas que les permitan implementar tratamientos más eficientes. En este artículo se expone un inventario de técnicas en el último siglo de la práctica ortodontista y las nuevas tendencias que permiten en la actualidad realizar tratamientos con mayor rapidez, estéticas y comodidad sin dejar de lado los principios de la ortodoncia pero si eliminando aquellos que han entrado en obsolescencia.
Descriptores: Ortodoncia; Paradigma; Técnica; Tecnología; Estética.
ABSTRACT
In recent years, there is an inclination of people to make things easier, more comfortable and faster. In this way, orthodontics has felt the effect of this phenomenon. Patients demand fast and more aesthetic treatments, where current orthodontists want to perform easier and less compromised treatments in the same way. In this sense, a series of devices designed to fulfill this purpose have been generated, where adaptation to changes is essential, so every orthodontic professional should include in their consultations all those techniques that allow them to implement more efficient treatments. This article presents an inventory of techniques in the last century of orthodontist practice and the new trends that currently allow faster, aesthetic and comfort treatments without neglecting the principles of orthodontics but eliminating those that have entered into obsolescence.
Descriptors: Orthodontics; Paradigm; Technique; Technology; Aesthetics.
INTRODUCCIÓN
El énfasis y la dirección de las filosofías de planificación del tratamiento de ortodoncia durante el siglo pasado es una historia con la que casi todos los ortodoncistas están familiarizados. Ejerciendo una considerable influencia intelectual a principios del siglo XX, el énfasis de Edward Angle en la oclusión lo llevó a enseñar que la estética facial óptima siempre coincidía con la oclusión ideal y que la estética esencialmente podía ignorarse porque se cuidaba sola. Más tarde, Tweed y Begg desafiaron la filosofía de no extracción de Angle parcialmente por motivos estéticos. Durante la mayor parte del siglo XX, la idea persistió en que la oclusión era el objetivo principal del tratamiento de ortodoncia, la estética desempeñaba un papel secundario. Incluso cuando se desarrolló la cirugía ortognática en la década de 1970 y reapareció el tratamiento de modificación del crecimiento para los niños, el objetivo era obtener una mejor oclusión más que mejores proporciones faciales. En la década de 1980, la introducción de nuevos materiales estéticos en la odontología restauradora condujo a la adopción generalizada de la "odontología estética".
Aproximadamente al mismo tiempo, se hizo más claro para todos los involucrados que el establecimiento de objetivos quirúrgicos ortognáticos estaba impulsado estéticamente. Aunque la oclusión ideal seguía siendo el objetivo funcional primario, se reconoció que el resultado estético era crítico para la satisfacción del paciente. Las consideraciones estéticas en la selección de otros enfoques de tratamiento de ortodoncia (expansión versus extracción, camuflaje versus corrección de las relaciones de la mandíbula) comenzaron a recibir el énfasis que merecen. Durante siglos, artistas, médicos, han tratado de cuantificar las proporciones ideales de la cara. Estos intentos continúan hasta el día de hoy, atractivos para los ortodoncistas porque proporcionan pautas para la estética. El presente artículo realiza un recorrido por el inventario de las técnicas utilizadas en el actual siglo a la luz de las nuevas técnicas y paradigmas de la ortodoncia moderna.
DESARROLLO
La cara cambiante de la ortodoncia
La Revista estadounidense de ortodoncia y ortopedia dentofacial celebra su centenario, salvaguardado por la Asociación Estadounidense de Ortodoncistas de casi 115 años. Este viaje fue testigo del surgimiento y la desaparición de diversos desarrollos, conceptos y procedimientos, mientras que aún se necesitan conocimientos básicos.
Se pueden definir varios períodos en el siglo pasado, pero los objetivos siguen siendo obtener un diagnóstico más preciso a través de imágenes anatómicas precisas, un movimiento dental más controlado, más rápido, aparatos más discretos, el equilibrio de estética, función y estabilidad. Los avances tecnológicos más recientes han reforzado estos objetivos. La tomografía computarizada de haz cónico ha llevado la evaluación tridimensional al uso diario, aunque el entusiasmo original se ve atenuado por el riesgo de radiación adicional. Los dispositivos de anclaje temporales o los minitornillos han revolucionado la práctica y el telar de la ortodoncia como una piedra angular sólida de la ciencia de la ortodoncia.
La decorticación y la microperforación prometen acelerar el desplazamiento dental al estimular la vascularización. El concepto del fenómeno acelerador regional ha tocado incluso el momento de la cirugía ortognática. La carga de los aparatos estéticos permanece, con la demanda de aparatos "cosméticos" y alineadores transparentes. ¿Han cambiado estos desarrollos la cara de la ortodoncia? ¿Nos hemos involucrado en otro giro en el que ciertas modalidades de tratamiento pueden desvanecerse, mientras que otras se unen a las aplicaciones convencionales?
Estas preguntas se abordan en este ensayo sobre los desafíos, las promesas y las limitaciones de la tecnología de ortodoncia actual, la mejora de la respuesta biológica y los enfoques de tratamiento personalizados (King, 2015). Feliz centenario, Revista estadounidense de ortodoncia y ortopedia dentofacial (REO-OD), la revista estadounidense de ortodoncia mundial. Has sido el lugar de encuentro de las mentes en todo el universo de los ortodoncistas y su principal referencia. Un reverendo saludo a una misión cumplida con editores dedicados, escritores y miles de soldados desconocidos, junto con millones de sonrisas.
Un aniversario es una intersección de la memoria y la perspectiva, con su carga de meditación e inspiración: ¿qué hemos logrado y hacia dónde vamos? En cierto nivel, sostiene en sus pliegues los granos de una tabula rasa (pizarra limpia) para invitar al rejuvenecimiento. Este centenario invita a la contemplación de un rico patrimonio y una proyección del destino.
La anatomía de un siglo
Se pueden definir tres períodos en el último siglo de ortodoncia, en base a 2 paneles principales: desarrollos tecnológicos y modalidades de tratamiento, ambos con una correspondencia obvia en los respectivos períodos temporales (Fig. 1). Las imágenes representan un tema paralelo que merece distinción, aunque definido en tecnología.
El primer período: desbordamiento de borde
Entre los comienzos del siglo XX hasta la década de 1970, esta larga fase estuvo dominada por el avance tecnológico de Edward Angle con el soporte de borde, excepto por el soporte / técnica de Begg "inter-lude", que en esencia fue más un tratamiento de extracción modo. Por lo tanto, el período puede ser titulado el "último y mejor" derrame de borde, en referencia a la famosa cita de Angle con respecto al corchete de borde: "lo último y lo mejor; úsalo”.
Periodos de la ortodoncia
Cuadro 1
|
Periodo |
Desarrollo tecnológico |
Modalidad de tratamiento |
Imagen |
|
1 |
Ca 1907 |
Cefalométrica (1931) Panorámica (1960) |
|
|
ü Soportes/alambres
|
ü No extracción ü Extracción |
||
|
Desbordamiento de borde "Lo último y lo mejor" |
El debate |
||
|
2 |
Ca 1975 |
|
|
|
ü Unión/Soportes “inteligentes” ü Aparatos linguales ü Alambres inteligentes |
ü No extracción ü Gnatología ü Cirugía Cirugía Ortognática |
||
|
Desbordamiento de la era espacial |
Empujando el desarrollo |
||
|
3 |
Ca 1990/95 |
|
Programa de imágenes (Simulacion) Tomografía computarizada de haz cónico, TCHC Escáner de boca |
|
ü Invisalign ü Dispositivo de anclaje temporal ü Microvibraciones
|
ü No extracción ü Cambiando los límites entre ortodoncia/cirugía ortognática |
||
|
|
ü Cirugía menos invasiva. decorticación, micro perforaciones.
|
|
|
|
Desbordamiento de tecnología de información |
Hacia tratamientos personalizados |
||
|
Metas |
Más control, movimiento más rápido, aparatos menos notables |
Oclusión / función; equilibrio de estética facial, estabilidad |
|
Fuente: Autor a partir de revista estadounidense de ortodoncia y ortopedia dentofacial (2019).
Adoptado originalmente por el enfoque de no extracción de Angle para lograr la oclusión de Clase I, el mantenimiento de la dentición completa a expensas de la estabilidad o la estética fue probado después de la muerte de Angle (1930) por uno de sus estudiantes, Tweed (1954), quien reintrodujo la extracción de dientes en los Estados Unidos. Estados, y más tarde en Australia por otro estudiante, Raymond Begg. Según Moorrees (1988), el retratamiento de pacientes por Tweed con la extracción de 4 primeros premolares influyó en ortodoncistas estadounidenses influidos para hacer más extracciones (casi la mitad de los tratamientos de ortodoncia en la década de 1960).
La razón fue que las discrepancias entre el tamaño de los dientes y la mandíbula se determinaron genéticamente. El péndulo de extracción se movió demasiado, afectando la estética facial hacia un perfil de "plato" o un "aspecto de extracción" (Fig. 2). El debate sobre la extracción o la no extracción llegó a las mentes y habilidades de los ortodoncistas hasta el punto en que se trazaron líneas entre los extraccioncitas y los no extraccioncitas.
Acompañando estos desarrollos fueron innovaciones radiográficas clave. La cefalometría (1931) como mínimo apoyó los hallazgos clínicos, pero también los elevó a un diagnóstico más completo, justificación para la planificación del tratamiento y evaluación del resultado del tratamiento. Más tarde, la radiografía panorámica (alrededor de 1960) facilitó considerablemente la evaluación y se convirtió en el registro de marca registrada para evaluar la perfección en el tratamiento a través del paralelismo radicular.
El segundo período: desbordamiento de la era espacial
Este período fue más corto que el primero, probablemente porque, en el primer período, la Segunda Guerra Mundial interrumpió el flujo de desarrollos en ciencia y tecnología, que se aceleró exponencialmente en el último cuarto del siglo XX, aunque solo se midió con la llegada de la computadora personal en oficinas y hogares.
A mediados de la década de 1970 se inició una serie de desarrollos tecnológicos que marcan la ortodoncia hasta nuestros días. La introducción del método de alambre recto con paréntesis de prescripción, junto con las 6 claves de oclusión normal de Andrews (1972), tuvo un impacto inicial de "marcar un tratamiento" que se atenuó con la práctica diaria. Pero la introducción de los "cables inteligentes" posible gracias a un subproducto de la exploración espacial, el cable de aleación de níquel-titanio, robó el espectáculo, garantizando el apodo de este segundo período como "desbordamiento de la era espacial". La promesa con tales desarrollos fueron un movimiento dental más suave y más comodidad para el paciente. Este último aún no había sido atendido por los frenos linguales entrantes. Estos aparatos invisibles, así como los soportes de cerámica, proporcionaron respuestas a la demanda de aparatos menos notables y, por lo tanto, más estéticos.

Fig. 1. Perfiles: A, a los 12 años 4 meses antes del tratamiento con extracción de los 4 segundos premolares; B, después del tratamiento, a los 14 años y 7 meses; C, a los 30 años 5 meses. Tenga en cuenta la apariencia de "plato" debido a la nariz y la barbilla más desarrolladas en relación con el complejo dentoalveolar. (Adaptado de Joondeph y Riedel, 1985)
Al profesional se le proporcionaron técnicas más rápidas y prácticas (p. Ej., Uniones de bandas reemplazadas o complementadas, y uniones elastoméricas con color bajo demanda suplantaron las ligaduras que consumían más tiempo). Los brackets de autoligado se introdujeron en esta era y se expandieron en la próxima, con la premisa de una mejor mecánica controlada, mayor comodidad del paciente y un mejor manejo de la práctica. Sin embargo, su uso seguía siendo más limitado que los brackets "regulares" que aún prosperaban, probablemente debido a resultados mixtos de investigación, costo y variables de operador.
En el frente del tratamiento, la física se inyectó formalmente en la ciencia del movimiento de los dientes, gracias a los trabajos principales de Burstone (2005), que con sus compañeros de trabajo también llevaron los conceptos clínicamente aplicables a la arquitectura del alambre (alambre de aleación de beta-titanio). Mientras que los conceptos gnatológicos penetraban en la odontología, Roth (1981), defendió su aplicación en ortodoncia.
Al extenderse desde la dentición para comprender y "tratar" las estructuras asociadas (musculatura, articulación temporomandibular y periodonto sano), la edad de la oclusión total, por lo tanto, el tratamiento multidisciplinario interactivo, estaba en la puerta, abarcando cada vez más el tratamiento de adultos en lugar de sobre todo niños. Finalmente, la triple corona de función, estética y estabilidad ayudó a ampliar la cirugía ortognática más allá de las obras seminales de Kazanjian de Harvard (1879-1974), Tessier de Francia (1917-2008) y Obwegeser de la Universidad de Zurich (1920), cuando los cirujanos estadounidenses líderes modificaron y diversificaron los métodos quirúrgicos originales a través de la investigación crítica. Los problemas anteriores de recaída del tratamiento se abordaron con el inicio de la fijación rígida. (Steinh y Auser, 1996).
Subyacente a todos esos desarrollos estaba la clara declaración de que la ortodoncia estaba dedicada no solo a la morfología oclusal y las funciones asociadas, sino también al menos por igual a la estética facial. En la década de 1990, la tendencia a la extracción se había revertido a la no extracción, pero enfatizó la estética y la estabilidad, por lo tanto, la mecánica de distalización, en lugar de la proclinación de los dientes anteriores. Sin embargo, surgió la expansión transversal, también reforzada por la "estética de la sonrisa" para reducir los corredores negros entre los dientes posteriores, las comisuras de la boca, proporcionar "consonancia" del labio inferior y las curvaturas de los dientes anteriores superiores.
Se sostuvo una percepción negativa con respecto a la ortodoncia que arrojaba un "aspecto de extracción" o una cara "oculta", las campañas de la Asociación Americana de Ortodoncistas con Miss América disiparon el estigma (Fig. 2). Estos esfuerzos fueron reforzados cuando la REO-OD no solo sirvió como un vehículo que se refleja a través de publicaciones científicas, el paradigma cambia a nivel mundial, pero también apareció en su portada la etiqueta de "sonrisa" , más tarde, las sonrisas de pacientes reales cada mes.
La ortodoncia estaba en una nueva plataforma, lista para una nueva lista de desarrollos en la víspera del siglo XXI, que había cruzado el siglo XX bajo la sombra de Edward Angle; mantuvo el ritmo de los desarrollos tecnológicos (desde imágenes hasta alta tecnología); participó en investigaciones con una adherencia creciente al rigor científico (p. ej., una serie de ensayos clínicos prospectivos aleatorios generados por los Institutos Nacionales de Salud a fines de los años ochenta y noventa (Ghafari et al., 1988; Tulloch, Profit y Phillips 2004; Dolce et al. 2007); logró una excelente organización en sus instituciones (academia y asociaciones); y creó alianzas para el descubrimiento científico entre universidades y asociaciones (por ejemplo, a través de la Fundación de la Asociación Estadounidense de Ortodoncistas y su Comité de Revisión de Planificación y Premios, [Weber, Behrents y Vaden, 1992]), entre universidades (experiencia del Programa de Residentes de Ortodoncia para Graduados), y entre universidades, asociaciones y industria.

Fig. 2. Un anuncio de la Asociación Americana de Ortodoncistas con Miss América de 1975, Shirley Cothran Barret.
Sin embargo, en educación, el siglo terminó con un tema crítico que se sintió en el próximo período: mientras los beneficios de la tecnología ingresaron al aula universitaria, el académico a tiempo completo se convirtió en una "especie en peligro de extinción" (Ghafari, 1993). El reclutamiento y la retención de la facultad junior vacilaron por varios razones: falta de salario competitivo con práctica privada; entorno universitario insatisfactorio, incluido el fracaso en el liderazgo administrativo departamental, escolar e incluso las influencias políticas; falta de tutoría insuficiente o insuficiente y tiempo protegido para el desarrollo profesional; sobrecarga de trabajo; criterios poco realistas para la promoción; y la falta de "calificaciones y ambición para una carrera académica" (Ghafari, 1993; Moorrees, 1993; King, 2015) Los artículos en la REO-OD y otras revistas de ortodoncia estadounidenses reflejan el problema de retención académica: cada vez más artículos de investigación provenían de instituciones internacionales no estadounidenses, aunque este desarrollo también se hizo eco Una sana globalización científica.
El tercer período: desbordamiento de la tecnología de la información
El tercer período actual se basó en 4 pistas que se cruzan: medios estéticos de administración del tratamiento, tratamiento más rápido, anclaje mejorado y una imagen más precisa (diagnóstico y simulación de tratamiento). Los desarrollos tecnológicos pueden clasificarse según el desbordamiento de la tecnología de la información, mientras que el tratamiento se ha movido sólidamente, junto con todas las áreas de la medicina, hacia la entrega personalizada.
Tres titulares tecnológicos principales surgieron en este período.
Dispositivos de anclaje temporal: "Lo último y lo mejor en control de anclaje", los mini tornillos de ortodoncia, también conocidos como mini implantes y dispositivos de anclaje temporales (no integrados), pueden verse como la revolución del siglo de la ortodoncia, "el santo grial de la ortodoncia", una solución para ambos cumplimiento y anclaje controlado (Graber, 2002). Una serie de horas pico sobre tipos, cabezas, anchos y longitudes de tornillos fue seguida por la investigación correspondiente antes de establecer más órdenes en cuanto a dimensiones, propiedades e indicaciones.
Los dispositivos metálicos perforados tuvieron éxito gracias a la tolerancia biológica del hueso y los tejidos blandos circundantes, donde la historia del movimiento de los dientes realmente se desarrolla. Este sólido éxito ha llevado al uso de miniimplantes a edades más tempranas en la dentición permanente porque su inserción en la dentición mixta es peligrosa para los dientes permanentes sin erupción. En esta perspectiva, surge una pregunta importante que justifica la búsqueda de respuestas: ¿la distalización del arco maxilar contra los implantes generaría un crecimiento diferencial ortopédico entre las mandíbulas similar al engendrado por el arnés en la corrección de la maloclusión de clase II? (Ghafari et al., 1988; Tulloch, Profit y Phillips 2004; Dolce et al. 2007)
Aparatos estéticos: Las dificultades y el costo del operador, si no los resultados comprometidos, impidieron una aplicación más amplia de varios modos de aparatos linguales, ahora estratificados en modos bidimensionales y tridimensionales (3D). Por otro lado, los alineadores claros auguraron una revolución estética. El concierto de varias tecnologías informáticas, de imágenes, de fresado y robóticas produjo una variedad de alineadores, conocidos popularmente por la marca que eventualmente se convirtió en el nombre genérico del hogar Invisalign (Align Technology, San José, California). La investigación ha revelado limitaciones en el éxito y la excelencia comprometida en maloclusiones más complicadas: el alineador por sí solo no parece adecuado para lograr resultados de alta calidad, sino que requiere múltiples enfoques complementarios para diversas situaciones clínicas (Bressler, et al. 2011). En consecuencia, selección de casos y conocimiento de Las limitaciones son críticas para el operador, que debe acumular experiencia y competencia después de una curva de aprendizaje inicial, y utilizar la secuencia adecuada de los movimientos para reducir la necesidad de refinar el caso.
Métodos de imagen: El diagnóstico y la planificación del tratamiento se mejoraron con imágenes en 3D (tomografía computarizada de haz cónico, TCHC), simulación de resultados y escáneres bucales. La tomografía computarizada se volvió fácil de usar en ortodoncia y odontología de implantes con el advenimiento de TCHC, pero los riesgos de radiación adicional provocaron la recomendación de un panel comisionado por la Academia Estadounidense de Radiología Oral y Maxilofacial contra su uso rutinario (Academia Americana de Radiología Oral y Maxilofacial, 2013).
Por consiguiente, hasta que pueda estar provisto de menos radiación, TCHC debe usarse cuando apoya un mejor diagnóstico y tratamiento; Es una herramienta perfecta en diversas situaciones (p. ej., máquinas impactadas). Los editores de revistas y los revisores expertos están sensibilizados con el tema y solicitan declaraciones claras de la junta de revisión institucional para evitar abusos, posibles engaños y declaraciones cuestionables en la literatura. La TCHC tampoco ha proporcionado, en promedio, datos de crecimiento y resultados con diferencias importantes con respecto a los resultados cefalométricos bidimensionales.

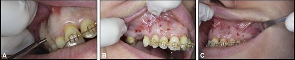
Fig. 3. Microperforaciones realizadas con la inserción y recuperación repetidas de A, mini tornillos en los lados B, derecho y C, izquierdo del maxilar. Este enfoque requiere el uso de más de 1 mini tornillo porque la cabeza pierde su borde después de varias penetraciones.
La simulación de resultados, particularmente útil en la cirugía ortognática, se mejoró aún más con la aplicación 3D proporcionada por la TCHC. Aunque los programas existentes ya proporcionaron una guía práctica para la práctica diaria, la predicción del resultado del tratamiento aún no se ha vuelto más precisa, a la espera de la generación de más datos que expliquen las vastas variaciones individuales. La evaluación de los tejidos blandos no ha alcanzado una evaluación de rutina comparable a la de los tejidos duros (huesos y dientes) en la mayoría de los estudios sobre los resultados del tratamiento. Se necesita un mayor volumen de tales evaluaciones para el desarrollo de algoritmos con aplicaciones más precisas.
Los escáneres bucales están en la escena para reemplazar los moldes dentales en al menos las funciones básicas, también brindan los beneficios de una mejor apreciación de las características de los tejidos blandos y la manipulación 3D, el análisis espacial y las simulaciones dentales. La Junta Estadounidense de Ortodoncia, así como otros organismos examinadores (Angle Society) ya permiten el uso de modelos escaneados, que se espera que prevalezcan con nuevos desarrollos y una mayor adhesión por parte de los programas y profesionales de la educación.
Los enfoques de tratamiento del tercer período en curso mantienen un ancla en la estética y la sonrisa y aumentan, aunque lentamente, la dependencia de los principios biológicos y las variaciones individuales, alejándose de los modos más mecanicistas.
Tratamiento sin extracción: El péndulo permanece balanceado hacia la no extracción, con el perfil de extracción en forma de media luna reemplazado por un perfil más completo, que probablemente representa las tendencias culturales de las preferencias de belleza. La posibilidad de extracciones sin perfilización de los restos permanece, pero la extracción (incluida la extracción temprana) de terceros molares todavía no figura en las estadísticas de extracción.
Técnicas para un tratamiento más rápido: decorticación (Wildondoncia y microperforaciones) y microvibraciones. La “ortodoncia osteogénica acelerada” a través de cortes corticales quirúrgicos interproximales (decorticación) no es más que otra aplicación del fenómeno acelerador regional, que produce resultados más rápidos que un tratamiento similar regular, independientemente del acuerdo con el plan de tratamiento, la perfección del acabado o el posibilidad de recesión periodontal.18 La microperforación adjunta (Park, Kang y Kim; 2006; Alikhani et al. 2013), se presentó como una alternativa viable para renunciar a la "agresividad" de las decorticaciones, con el objetivo de generar un movimiento dental mejorado por inflamación (Alikhani et al. 2013).
Los estudios iniciales en animales y humanos demostraron el potencial del método para promover un movimiento más rápido, pero quedan varias preguntas con respecto a la frecuencia de las microperforaciones (con qué frecuencia deberían repetirse) y el número de microperforaciones (cuántas veces deberían repetirse). y si la tasa es variable en diferentes pacientes). A nivel práctico, se encuentran disponibles kits comerciales de microperforación que permiten al ortodoncista "marcar" la profundidad de la microperforación (p. Ej., 2-3 mm). Este método también se puede aplicar a través de la inserción y extracción repetidas de mini tornillos de ortodoncia (Fig. 3).
La aplicación del fenómeno acelerador regional se ha extendido al desempeño selectivo de la cirugía ortognática antes de la ortodoncia como una estimulación importante del aporte vascular e inflamatorio para acelerar el movimiento de los dientes. Sin embargo, se justifica más investigación antes de poder formular directrices claras (Hernández, Guijarro y Peiro; 2014).

Fig. 4. A, cefalograma previo al tratamiento, B, fotografía de perfil posterior al tratamiento, y C, oclusión posterior al tratamiento de un paciente con una maloclusión de Clase II División 1 caracterizada por una sobrejet severa (10 mm) y una sobremordida profunda. Después de una fase inicial de tratamiento con un aparato funcional, la paciente y sus padres se negaron a continuar el tratamiento con aparatos fijos completos hacia la oclusión ideal de Clase I y la alineación dental. Aunque la oclusión está comprometida, la función y la estética (cara, perfil y sonrisa) fueron óptimas. Debido al delgado labio superior en relación con el labio inferior, una mayor reducción de la sobrejet (a través de la distalización del arco maxilar o el movimiento mesial del arco mandibular) probablemente resultaría en un paso inverso menos atractivo entre los labios.
Las microvibraciones a través de una boquilla en la que el paciente muerde (por ejemplo, durante 20 minutos por día) representan otro medio auxiliar para acelerar la respuesta biológica. Los estudios de investigación no han arrojado evidencia definitiva sobre su efectividad.
Trato personalizado. Mientras que el segundo período fue testigo del arraigo del consentimiento del paciente en la práctica, reemplazando el enfoque paternalista más antiguo al reforzar los derechos, la privacidad, la confidencialidad y la asociación del paciente, las últimas décadas se han caracterizado por el movimiento al centro de la evidencia. Basada en la medicina, revisiones institucionales de enfoques éticos para la investigación y, con el sondeo de impresiones genéticas, el surgimiento de la medicina personalizada. Utilizado por primera vez en el marco genético, la medicina personalizada refleja esencialmente la personalización de la atención médica mediante la cual las decisiones y procedimientos de tratamiento se moldean para cada paciente.
El concepto eventualmente invadió todos los aspectos de la atención médica, reemplazando la referencia anterior a la "individualización". Cuando se extendió a la ortodoncia, el principio de "dirigir a los pacientes al medicamento correcto en la dosis correcta en el momento correcto" implicaría aplicar el derecho tratamiento con el enfoque correcto en el momento adecuado, en sí mismo un desafío importante que requiere atención temprana al niño y su crecimiento (Hamburg y Collins, 2010).
La medicina personalizada obliga al diagnóstico adecuado, que debe abarcar la constitución del paciente, por lo tanto, "la armonía estructural y funcional y el bienestar de la persona total" (Ghafari, 1993). Conceptual y prácticamente, este enfoque puede producir un resultado del tratamiento que se desvía de la oclusión de clase I normal, en que se ha basado la salud ortodóntica u oclusal (Fig. 5). En algunos pacientes que rechazan el tratamiento quirúrgico ideal, la compensación limitada (para el camuflaje adecuado) apunta a una apariencia facial favorable en lugar de la oclusión de clase ideal. Por consiguiente, en lugar de alanar el perfil, se mantiene una sobrejet (Ghafari, 1997: Ghafari y Macari, 2014).
Entre dudas, certezas y realidad
En su ensayo “El destino de la ortopedia escrita en las estrellas", Ackerman (2015), solicitó a las mentes de Darwin y Gatson en un encuentro ficticio con el joven Edward Angle para cuestionar el concepto de ortodoncia de este último como "biología aplicada "Sobre la base de que la oclusión ideal sigue siendo el concepto más fundamental. Similar a la astrología, la ortodoncia o la ciencia de la oclusión, que ha sido "impulsada más tecnológicamente que biológicamente o científicamente basada", era más probable que fuera una pseudociencia hasta que una hipótesis pudiera ser probada y validada para mover el disciplina lejos de la morfología a la fisiología. Relacionado con estas dudas, Wylie (1946), formuló una pregunta más seminal hace casi 70 años sobre la maloclusión: "¿enfermedad o malformación?"
La respuesta inmediata a estas reservas es fomentar y adherirse al método científico para lograr objetivos personalizados bien definidos y un tratamiento guiado por la evidencia. Sin embargo, deben observarse observaciones contrarias, ya que la evidencia disponible no siempre se aplica: a pesar de los resultados en el nivel más alto de la jerarquía de evidencia que apunta a comenzar el tratamiento en la dentición mixta tardía, se instituyen tratamientos más tempranos (algunos lo califican como sobretratamiento, aun posiblemente impulsado por el deseo de los padres de un "arreglo temprano" ((Ghafari et al., 1988; Tulloch, Profit y Phillips 2004; Dolce et al. 2007; Ghafari y Macari, 2014; Gianelly, 2006; Livieratos y Johnston. 1995) .
Además, a pesar de los constantes hallazgos de que el tratamiento en la dentición mixta tardía debe iniciarse antes de la pérdida de los segundos molares caducifolios, muchos pacientes reciben tratamiento a edades más tempranas y muchos son derivados para tratamiento de ortodoncia después de la pérdida de todos los dientes caducifolios, habiendo perdido La oportunidad que brinda el espacio de margen de maniobra para ahorrar espacio y corregir el apiñamiento anterior (Ghafari, 1997; Ghafari y Macari, 2014; Gianelly, 2006).
La búsqueda de definir y probar una aplicación biológica es una misión desafiante. Si la función se adopta como el paradigma científico general, aún debe concebirse que el tratamiento óptimo sería juntar los dientes en una interdigitación ideal, muy similar a la de un cirujano ortopédico, alargando una pierna más corta para que coincida con el otro, ayudaría a restaurar una mejor función. Pero, ¿qué pasa si una oclusión por debajo de la interdigitación ideal es funcional y, por lo tanto, fisiológica? ¿Acaso académicos con inclinación biológica modificarían su enseñanza? ¿La Junta Estadounidense de Ortodoncia o la Sociedad Angle considerarían el caso "aceptable"? ¿Estas juntas de examen aceptarían una oclusión comprometida por debajo de una Clase I pero que corresponde a un perfil facial más agradable, muy parecido a una rinoplastia que un cirujano plástico realiza por debajo de la punta de la nariz ideal para evitar la visión poco atractiva de las narinas más inclinadas verticalmente?
El rostro cambiante de la ortodoncia, la odontología y más allá
Estos interrogatorios y suposiciones fuerzan la cuestión más general del inventario centenario: ¿dónde nos encontramos en los objetivos establecidos para mejorar la función, la estética y la estabilidad, a pesar de que los desarrollos tecnológicos nos han permitido avanzar hacia diagnósticos más visualizados y movimientos de dientes más controlados? ¿Ha cambiado la cara de la ortodoncia en un siglo?
Es posible que hayamos presenciado un impresionante estiramiento facial en lugar de un cambio, dado el predominio de las herramientas básicas de la práctica diaria (soportes y cables) que proporcionan un control, resultados, más predecibles en medio de todas las innovaciones, la ausencia de un avance biológico para acortar rutinariamente el tratamiento. La cara cambiante de la ortodoncia se relacionó en gran medida con la de la odontología: ambos experimentaron un estiramiento facial casi total en 4 áreas principales: imagen y simulación, implantes, ingeniería de tejidos, estética y cosmética, con los correspondientes cambios en la práctica. , la conducta de investigación, educación y acercamiento al paciente. A su vez, muchos cambios en la odontología se han relacionado con desarrollos en medicina.
En esta perspectiva, más allá de los hitos logrados en la ortodoncia y en el ámbito dental más grande, el desafío principal, un cambio real, sería llamar a la integración de la odontología en la medicina, comenzando con disciplinas más cercanas al territorio médico que ortopedia, como la periodoncia (que se ocupa de enfermedades infecciosas tratadas médica y quirúrgicamente) y la cirugía maxilofacial oral, que en realidad avanza progresivamente en esta dirección.
Este problema es complejo y en cierto nivel tabú debido a la función de larga data del sistema actual y, en consecuencia, a las partes interesadas arraigadas. Sin embargo, una pregunta espera una respuesta válida de la academia dental y médica y sus organizaciones profesionales correspondientes: ¿por qué la boca es la única parte del cuerpo divorciada del cuerpo, con escuelas dentales independientes en lugar de departamentos dentales en centros médicos como todos los médicos? ¿Especialidades? (Ghafari, 2006). Incluso el seguro dental está separado del seguro médico, aunque se informó una asociación entre la salud oral y las percepciones generales de salud, lo que refleja un continuo en la salud médica y dental y la atención médica. (Richmond, et al. 2017).
Obviamente, las organizaciones dentales, como otras asociaciones especializadas, seguirá siendo independiente De manera inversa, las preguntas corolarias son: ¿por qué un estudiante de medicina no puede especializarse en una disciplina dental y por qué la dermatología o la psiquiatría no son independientes de la medicina? ¿Estamos listos, tanto en odontología como en medicina, para responder estas preguntas desafiantes? Como primer paso, se hacen las preguntas. Serán respondidas en la era biológica del derrame genético.
Avances tecnológicos y terapéuticos
Cables "inteligentes", ionómero de vidrio, informatización, implantes, osteogénesis por distracción, los avances tecnológicos siempre tienen el potencial de generar cambios en los paradigmas. Se pueden enumerar varios que afectaron el desarrollo de la ortodoncia hasta el día de hoy: la llegada del soporte de borde, la unión, los cementos de ionómero de vidrio, la radiografía cefalométrica, las imágenes de video, el uso de computadoras para ayudar en la planificación del tratamiento y el manejo de la práctica, programado (prescripción) soportes, níquel titanio u otros alambres de aleación, y fijación rígida en cirugía ortognática. Aunque la mayoría de los desarrollos durante varias décadas han sido variaciones en la tecnología preexistente, es igualmente cierto que los cambios importantes en la terapia de ortodoncia han sido dictados por las industrias detrás de tales desarrollos. En la actualidad, los avances que pueden afectar una nueva dirección en el tratamiento de ortodoncia se relacionan con los implantes y el alargamiento óseo (Roberts, 1995). Los implantes, pequeños implantes retenidos en la superficie, pueden surgir como el método de elección en ortodoncia (Block y Hoffman, 1995), aunque su uso probablemente se limitará a ciertas condiciones.
El alargamiento óseo a través de la osteogénesis por distracción, ahora en uso en el tratamiento de anomalías craneofaciales (McCarthy et al. 1992, Karp et al. 1992), puede emerger como un complemento ortopédico al tratamiento de ortodoncia de maloclusiones. El dispositivo utilizado para alargar los huesos es una configuración extraoral. El alargamiento mandibular exitoso con dispositivos intraorales se informó recientemente en primates (Altuna, Walker y Freman, 1995) y, sin duda, seguirán las aplicaciones en humanos, lo que puede conducir a la resolución del retrognatismo mandibular a través de este enfoque osteogénico. Sin embargo, esta premisa requerirá una investigación exhaustiva, incluida la exploración de las ventajas y desventajas de corregir el problema esquelético a través de la cirugía versus la osteogénesis. Aunque ambos procedimientos afectan la estructura ósea, la envoltura del tejido blando circundante puede ser el factor limitante crítico en el éxito y la estabilidad del tratamiento.
REFERENCIAS CONSULTADAS
1. Academia Americana de Radiología Oral y Maxilofacial. (2013). Recomendaciones clínicas sobre el uso de la tomografía computarizada de haz cónico en ortodoncia. Declaración de posición de la Academia Americana de Radiología Oral y Maxilofacial. Oral Surg Oral Med Oral Pathol Oral Radiol
2. Ackerman J. (2015). ¿Fue el destino de la ortodoncia escrito en las estrellas? Am J Orthod Dentofacial Orthop
3. Alikhani M, Raptis M, Zoldan B, Sangsuwon C, Lee YB, Alyami B, et al. (2013). Efecto de las micro-osteoperforaciones sobre la velocidad del movimiento dental. Am J Orthod Dentofacial Orthop
4. Altuna, G., Walker, DA y Freman, E. (1995). Alargamiento ortopédico rápido de la mandíbula por distracción osteogénica en primates: un enfoque intraoral. (Abstr. 1165) J Dent Res.
5. Andrews L. (1972). Las seis claves para la oclusión normal. Am J Orthod
6. Block, M. y Hoffman, D. (1995). Un nuevo dispositivo para el anclaje absoluto para ortodoncia. Soy J Orthod Dentofac Orthop .
7. Bressler JM, Hamamoto S, King GJ, Bollen AM. (2011). Terapia Invisalign: una revisión sistemática de evidencia de menor calidad. En: Huang GJ, Richmond S, Vig K, editores. Ortodoncia basada en la evidencia. Hoboken, Nueva Jersey: Wiley-Blackwell
8. Burstone C. (2005). Aplicaciones de la bioingeniería a la ortodoncia clínica. En: Graber TM, Vararsdall RL, editores. Ortodoncia: principios y técnicas actuales. 4ta ed. San Luis: C. V. Mosby
9. Dolce C, McGorray SP, Brazeau L, King GJ, Wheeler TT. (2007). Tiempo de tratamiento de clase II: cambios esqueléticos que comparan el tratamiento monofásico y el monofásico. Am J Orthod Dentofacial Orthop
10. Ghafari J, Macari A. (2014). El análisis de componentes de la Clase II, División 1 revela limitaciones para la transferencia al fenotipo de Clase I. Semin
11. Ghafari J, Shofer FS, Jacobsson-Hunt U, Markowitz DL, Laster LL.(1998). Arnés versus regulador de función en el tratamiento temprano de la clase II, maloclusión división 1. Am J Orthod Dentofacial Orthop
12. Ghafari J. (1997). Paradigmas emergentes en ortodoncia: un ensayo. A.m J Orthod Dentofacial Orthop
13. Ghafari J. (2006). El modelo médico en la educación de ortodoncia. Angle Orthod
14. Ghafari JG. (1993). El estado del académico. En: Ghafari JG, Moorrees CFA, editores. Ortodoncia en la encrucijada. Boston: Harvard Society for the Advancement of Orthodontics.
15. Gianelly A. (2006). Terapia basada en evidencia: un dilema de ortodoncia. Am J Orthod Dentofacial Orthop
16. Graber T. (2002). ¿Finalmente hemos encontrado el santo grial de la ortodoncia?
17. Hamburg M, Collins F. (2010) El camino hacia la medicina personalizada. N Engl J Med
18. Hernández F, Guijarro R, Peiro M. (2014). Cirugía primero en cirugía ortognática: ¿qué hemos aprendido? Un flujo de trabajo integral basado en 45 casos consecutivos. J Oral Maxillofac Surg
19. Joondeph D. y Riedel, R. (1985). Conceptos y técnicas de ortodoncia actuales. St Louis: C. V. Mosby
20. Karp, NS, McCarthy, JG, Schreiber, JS, Sissons, HA y Thorne, CHM. (1992). Alargamiento óseo membranoso: un estudio histológico en serie. Ann Plast Surg
21. King G. (2015). Resolver la escasez de profesores podría requerir más de dinero. Am J Orthod Dentofacial Orthop
22. Livieratos F, Johnston L Jr. (1995). Una comparación de alternativas de no extracción de una etapa y dos etapas en muestras combinadas de Clase II. Am J Orthod Dentofacial Orthop
23. McCarthy, JG, Schreiber, J, Karp, N, Thorne, CH y Grayson, BH.(1992). Alargamiento de la mandíbula humana por distracción gradual. Plast Reconstr Surg .
24. Moorrees C. (1988). Ortodoncia durante los últimos 50 años. Moorrees van der Linden, editores. Nijmegen, Países Bajos: Universidad de Nijmegen;
25. Moorrees CFA.(1993). Reflexiones sobre una carrera académica en docencia e investigación. Am J Orthod Dentofacial Orthop
26. Park YG, Kang SG, Kim SJ. (2006). Movimiento acelerado de los dientes por cortical como paradigma de ortodoncia ósea. Kinki Tokai Kyosei Shika Gakkai Gakujyutsu Taikai, Sokai
27. Richmond S, Chestnut I, Shennan J, Brown R. (2017). La relación de los factores médicos y dentales con la salud general y dental percibida. Community Dent Oral Epidemiol
28. Roberts, U. (1995). El uso de implantes dentales en la terapia de ortodoncia. en: Mecanismos biológicos de erupción dental, reabsorción y reemplazo por implantes. Harvard Society for the Advancement of Orthodontics , Boston
29. Roth R. (1981). Oclusión funcional para el ortodoncista. J Clin Orthod 1981
30. Sarver DM, Ackerman MB.(2003). Visualización dinámica de la sonrisa y cuantificación: parte 2. Análisis de la sonrisa y estrategias de tratamiento. Am J Orthod Dentofacial Orthop
31. Steinh E. y Auser E. (1996). Desarrollo histórico de la cirugía ortognática. J Craniomaxillofac Surg
32. Tulloch JF, Profit t WR, Phillips C. (2004). Resultados en un ensayo clínico aleatorizado de 2 fases de tratamiento temprano de Clase II. Am J Orthod Dentofacial Orthop
33. Tweed CH. (1954). El ángulo incisivo de Frankfort-mandibular (FMIA)
34. Weber FN, Behrents RG, Vaden JL. (1992). Campaña del Fondo de Dotación de la Fundación de la Asociación Americana de Ortodoncistas. Am J Orthod Dentofacial Orthop
35. Wilcko MT, Wilcko WM, Pulver JJ, Bissada NF, Bouquot JE. (2009). Técnica de ortodoncia osteogénica acelerada: una técnica de ortodoncia rápida quirúrgica facilitada en una etapa con aumento alveolar. J Oral Maxillofac Surg
36. Wylie W. (1946). Maloclusión: ¿enfermedad o malformación? Angle Orthod
REFERENCES CONSULTED
1. American Academy of Oral and Maxillofacial Radiology. (2013). Clinical recommendations on the use of conical beam computed tomography in orthodontics. Statement of position of the American Academy of Oral and Maxillofacial Radiology. Oral Surg Oral Med Oral Pathol Oral Radiol
2. Ackerman J. (2015). Was the fate of orthodontics written in the stars? Am J Orthod Dentofacial Orthop
3. Alikhani M, Raptis M, Zoldan B, Sangsuwon C, Lee YB, Alyami B, et al. (2013). Effect of micro-osteoperforations on the speed of dental movement. Am J Orthod Dentofacial Orthop
4. Altuna, G., Walker, DA and Freman, E. (1995). Rapid orthopedic extension of the jaw due to osteogenic distraction in primates: an intraoral approach. (Abstr. 1165) J Dent Res.
5. Andrews L. (1972). The six keys to normal occlusion. Am J Orthod
6. Block, M. and Hoffman, D. (1995). A new device for absolute anchorage for orthodontics. I'm J Orthod Dentofac Orthop.
7. Bressler JM, Hamamoto S, King GJ, Bollen AM. (2011). Invisalign therapy: a systematic review of evidence of lower quality. In: Huang GJ, Richmond S, Vig K, editors. Orthodontics based on evidence. Hoboken, New Jersey: Wiley-Blackwell
8. Burstone C. (2005). Applications of bioengineering to clinical orthodontics. In: Graber TM, Vararsdall RL, editors. Orthodontics: current principles and techniques. 4th ed. St. Louis: C. V. Mosby
9. Dolce C, McGorray SP, Brazeau L, King GJ, Wheeler TT. (2007). Class II treatment time: skeletal changes that compare single-phase and single-phase treatment. Am J Orthod Dentofacial Orthop
10. Ghafari J, Macari A. (2014). The analysis of components of Class II, Division 1 reveals limitations for the transfer to the phenotype of Class I. Semin
11. Ghafari J, Shofer FS, Jacobsson-Hunt U, Markowitz DL, Laster LL. (1998). Harness versus function regulator in the early treatment of class II, division 1 malocclusion. Am J Orthod Dentofacial Orthop
12. Ghafari J. (1997). Emerging paradigms in orthodontics: an essay. A.m J Orthod Dentofacial Orthop
13. Ghafari J. (2006). The medical model in orthodontic education. Angle Orthod
14. Ghafari JG. (1993). The state of the academic. In: Ghafari JG, Moorrees CFA, editors. Orthodontics at the crossroads. Boston: Harvard Society for the Advancement of Orthodontics.
15. Gianelly A. (2006). Evidence-based therapy: an orthodontic dilemma. Am J Orthod Dentofacial Orthop
16. Graber T. (2002). Have we finally found the holy grail of orthodontics?
17. Hamburg M, Collins F. (2010) The road to personalized medicine. N Engl J Med
18. Hernández F, Pebble R, Peiro M. (2014). First orthognathic surgery: what have we learned? A comprehensive workflow based on 45 consecutive cases. J Oral Maxillofac Surg
19. Joondeph D. and Riedel, R. (1985). Current orthodontic concepts and techniques. St Louis: C. V. Mosby
20. Karp, NS, McCarthy, JG, Schreiber, JS, Sissons, HA and Thorne, CHM. (1992). Membranous bone lengthening: a serial histological study. Ann Plast Surg
21. King G. (2015). Resolving teacher shortages may require more money. Am J Orthod Dentofacial Orthop
22. Livieratos F, Johnston L Jr. (1995). A comparison of non-extraction alternatives of one stage and two stages in combined Class II samples. Am J Orthod Dentofacial Orthop
23. McCarthy, JG, Schreiber, J, Karp, N, Thorne, CH and Grayson, BH. (1992). Lengthening of the human jaw due to gradual distraction. Plast Reconstr Surg.
24. Moorrees C. (1988). Orthodontics during the last 50 years. Moorrees van der Linden, editors. Nijmegen, The Netherlands: University of Nijmegen;
25. Moorrees CFA. (1993). Reflections on an academic career in teaching and research. Am J Orthod Dentofacial Orthop
26. Park YG, Kang SG, Kim SJ. (2006). Accelerated movement of the teeth by cortical as a paradigm of bone orthodontics. Kinki Tokai Kyosei Shika Gakkai Gakujyutsu Taikai, Sokai
27. Richmond S, Chestnut I, Shennan J, Brown R. (2017). The relationship of medical and dental factors with perceived general and dental health. Community Dent Oral Epidemiol
28. Roberts, U. (1995). The use of dental implants in orthodontic therapy. in: Biological mechanisms of dental eruption, reabsorption and implant replacement. Harvard Society for the Advancement of Orthodontics, Boston
29. Roth R. (1981). Functional occlusion for the orthodontist. J Clin Orthod 1981
30. Sarver DM, Ackerman MB. (2003). Dynamic smile visualization and quantification: part 2. Smile analysis and treatment strategies. Am J Orthod Dentofacial Orthop
31. Steinh E. and Auser E. (1996). Historical development of orthognathic surgery. J Craniomaxillofac Surg
32. Tulloch JF, Profit t WR, Phillips C. (2004). Results in a randomized clinical trial of 2 phases of early Class II treatment. Am J Orthod Dentofacial Orthop
33. Tweed CH. (1954). The Frankfort-mandibular incisor angle (FMIA)
34. Weber FN, Behrents RG, Vaden JL. (1992). Endowment Fund Campaign of the Foundation of the American Association of Orthodontists. Am J Orthod Dentofacial Orthop
35. Wilcko MT, Wilcko WM, Pulver JJ, Bissada NF, Bouquot JE. (2009). Accelerated osteogenic orthodontic technique: a rapid surgical orthodontic technique facilitated in a stage with alveolar augmentation. J Oral Maxillofac Surg
36. Wylie W. (1946). Malocclusion: disease or malformation? Angle Orthod
©2019 por los autores. Este artículo es de acceso abierto y distribuido según los términos y condiciones de la licencia Creative Commons Atribución-NoComercial-CompartirIgual 4.0 Internacional (CC BY-NC-SA 4.0) (https://creativecommons.org/licenses/by-nc-sa/4.0/).