http://dx.doi.org/10.35381/s.v.v6i12.1959
Trauma esofágico como complicación del uso de prótesis dentales en un adulto mayor
Esophageal trauma as a complication of the use of dental prostheses in an elderly adult
María Teresa Pulgar-Guariato
Universidad Nacional Experimental Francisco de Miranda, Santa Ana de Coro, Miranda
Venezuela
https://orcid.org/0000-0001-6856-7474
Recepción: 01 de abril 2022
Revisado: 23 de mayo 2022
Aprobación: 15 de junio 2022
Publicación: 01 de julio 2022
RESUMEN
Objetivo: Dar a conocer los riesgos que conlleva el uso de prótesis dentales deterioradas en adultos mayores, ante la amenaza de ser deglutidas y los daños esofágicos asociados. Método: Reporte de caso. Discusión: En la investigación realizada se determinó que la perforación esofágica es una complicación compleja, donde se debe establecer un diagnóstico precoz y tratamiento oportuno como lo señalan las investigaciones citadas por los autores. Conclusiones: El diagnóstico precoz y la aplicación de protocolos de atención médica, es necesario para reducir las complicaciones que derivan de las perforaciones esofágicas y disminuir la morbimortalidad.
Descriptores: Enfermedades del esófago; envejecimiento; absceso. (Tomado de DeCS).
ABSTRACT
Objective: To make known the risks involved in the use of deteriorated dental prostheses in older adults, in view of the threat of swallowing and the associated esophageal damage. Method: Case report. Discussion: In the research conducted, it was determined that esophageal perforation is a complex complication, where early diagnosis and timely treatment should be established as indicated by the research cited by the authors. Conclusions: Early diagnosis and the application of medical care protocols is necessary to reduce the complications derived from esophageal perforations and decrease morbimortality.
Descriptors: Esophageal diseases; aging; abscess. (Taken from DeCS).
INTRODUCCIÓN
A nivel global, la población mayor de 65 años crece a un ritmo más rápido que el resto de segmentos poblacionales. El envejecimiento constituye un proceso biológico donde ocurre una serie de cambios estructurales y funcionales que aparecen con el paso del tiempo, no escapan de ello los cambios originados en la cavidad bucal 1. La pérdida parcial o total de las piezas dentarias, ocasiona el uso de elementos artificiales destinados a restaurar la anatomía de una o varias piezas dentarias, y que ellas pueden ser removibles o fijas. El mal uso y falta de mantenimiento de las prótesis dentales puede conllevar a desprendimiento de las mismas, lo que pudiera ocasionar graves lesiones si es tragada por la persona.
Al aumentar la edad y como consecuencias de las sucesivas perdidas dentarias, aumenta el número de personas que requieren ser habilitadas protésicamente. Los dientes inferiores son los últimos que se pierden, por eso hay supremacía en cuanto al desdentamiento superior. En una investigación realizada por portadores de prótesis en Holguín también predominaron las prótesis totales superiores sobre las inferiores similares a lo encontrado en estudios epidemiológico de Colombia 2, 3 4.
Cuando se analiza las visitas periódicas a los odontólogos, se aprecian cifras muy bajas de pacientes portadores de prótesis que asisten con periodicidad al odontólogo 5, 6. Esto puede estar asociado con la creencia errónea de que con la colocación de las prótesis se ha concluido el trabajo y muchas veces no acuden al odontólogo, la misma necesita ser reparada o ante el dolor o lesión evidente que afecta el bienestar del individuo 7.
Según lo descrito en un trabajo realizado por 8, resulta muy frecuente, para los especialistas en otorrinolaringología, la atención de pacientes que presentan algún cuerpo extraño en el esófago. En muchos casos los afectados suelen tener edades avanzadas, debido a la ausencia de dentición y el uso de prótesis dentales que imposibilitan detectar la presencia de cuerpo extraño en sus alimentos.
La hemorragia, penetración, perforación, mediastinitis y piotorax son complicaciones que pueden desarrollarse. La gravedad de la perforación está determinada por la contaminación del mediastino con contenido gastroduodenal, oral; y, si no se trata ocasiona la muerte 9. En la actualidad su incidencia ha aumentado, y su etiología ha cambiado siendo más frecuente la causa iatrogénica pues supone un 50%; esto es debido al aumento de las técnicas endoscópicas tanto diagnósticas como terapéuticas 10.
Un estudio describió la perforación esofágica causada por el desgarro durante el descenso de una prótesis dental, evidenciando perforaciones esofágicas múltiples, varias en el esófago cervical y una en el esófago torácico después de tragar la prótesis dental. Las perforaciones fueron resueltas mediante intervención quirúrgica en la región cervical y torácica. El enfisema mediastinal fue resuelto en la evolución post operatoria 11.
En los adultos mayores coexisten cambios y afecciones que predisponen a las complicaciones postquirúrgicas, por lo que suelen evolucionar desfavorablemente y fallecer entre 16 y 40% del total, generalmente por choque séptico y fallo de múltiples órganos 8.
Referencia teórica para el estudio:
Esófago. Para el anatomista es el segmento que conecta la faringe al estómago 12. Segmento muscular membranoso entre la faringe y el estómago en el tracto gastrointestinal superior 13.
Perforación esofágica. Es un orificio en el esófago. Los contenidos del esófago pueden pasar a la zona alrededor del pecho (mediastino) cuando hay una perforación esto a menudo ocasiona infección del mediastino (mediastinitis) 13.
Mediastinitis. Es una enfermedad poco frecuente que se caracteriza por la existencia de inflamación de tipo agudo o crónico en el mediastino, es un proceso grave que causa mortalidad. Inflamación del mediastino 13.
Absceso Fríos. Es una acumulación de pus localizada en la piel 14. Zona de infección que no muestra signos típicos de calor, rubor o eritema, e inflamación.
REPORTE DE CASO
Se trata de paciente femenina de 58 años de edad, ocupación oficios del hogar, con antecedentes de hipertensión arterial y diabetes mellitus, quien consulta a la sala de urgencia de la clínica Virgen de la Guadalupe, Coro, Estado Falcón, Venezuela; dos días después, por presentar posterior a ingesta de dosis de medicamento, ingestión simultanea de prótesis dental, acude a facultativo por presentar dolor, malestar general, fiebre, dificultad para deglutir alimentos sólidos y líquidos. Es ingresada en la clínica Virgen de Guadalupe y se le practica endoscopia digestiva superior, para realizar extracción de cuerpo extraño (prótesis dental completa), la cual es extraída con pinzas (Figura 1. Anexos), quedando recluida en hospitalización para antibioticoterapia y vigilancia. En días posteriores presenta aumento de volumen en región de cuello, dolor, dificultad más acentuada para la deglución de líquidos. Ameritando valoración por el servicio de cirugía general. Al examen físico se aprecia consciente, angustiada, estresada, con cara de dolor. Región izquierda del cuello con aumento de volumen de aproximadamente 5x6 cm, sin calor local, rubor, se aprecia ganglios palpables, dolor a la palpación de la tumoración. A nivel cardio- pulmonar no mostraba alteraciones de importancia. Resto del examen físico sin compromiso.
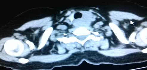
Pruebas de laboratorio: se aprecia leucocitosis en 12.000cel/mm3 y luego progresa a 24.500cel/mm3, polimorfo nuclear 90%, valores de glucosa en sangre elevada. Se le realiza rayos x de cuello (Figura 2. Anexos), y ecosonograma de región cervical, donde se describe una lesión ocupante de espacio alrededor de la tráquea hacia el lado izquierdo, de 4x 2 cm, heterogénea de bordes bien circunscritos. No presenta vascularidad al uso del Doppler. El lóbulo izquierdo del tiroides, muestra efecto de masa en su cara inferior. Concluye con una lesión ocupante de espacio en región traqueal izquierda sugerente de absceso frio. Se le realiza estudio de tomografía computarizada de cuello (Figura. 3, 4, 5. Anexos), y tórax, apreciando en región lateral izquierda del cuello, hiperdensidad paralela a la tráquea y glándula tiroidea, haciendo efecto de masa compresiva sobre las estructuras cercanas.
En la tomografía de tórax no se aprecian alteraciones. El diagnóstico emitido fue perforación esofágica por cuerpo extraño (prótesis dental) complicada con absceso en región cervical Izquierda. La conducta asumida fue realizar intervención quirúrgica: Cervicotomia Izquierda más drenaje, los hallazgos fueron 50cc de secreción purulenta aproximadamente, con escasa fetidez, tejido esofágico y sus alrededores friables, congestivos. Se pasa a hospitalización donde permanece con antibióticos endovenosos, curas diarias y egresa a los 6 días por mejoría clínica.
DISCUSIÓN
El trauma esofágico es considerado una de las más graves lesiones en el sistema digestivo. Depende del tiempo trascurrido entre el momento de la lesión y la instalación del tratamiento, así como también, la causa que originó el traumatismo (perforación), La mortalidad por perforación esofágica se encuentra entre un 19% a un 40%. Y las complicaciones un 49% fueron asociadas a las lesiones en esófago, siendo las más frecuentes infecciones en la herida 8%, fistulas (comunicación entre dos espacios) 5%, abscesos 4%, y la más temida de las complicaciones es la mediastinitis 4% 15.
En el caso reportado la paciente presentó una de las complicaciones menos frecuentes. La susceptibilidad que presentan los adultos mayores con el uso de prótesis dentales en estado de deterioro, hace necesario mejorar la su salud bucal e incentivar consultas periódicas a los odontólogos con la finalidad de chequear el estado de la prótesis y toda la cavidad oral 16. En el caso descrito la falta de mantenimiento de la prótesis dental, fue esencial para la deglución accidental de la misma, concordando con las investigaciones referenciadas.
En la investigación realizada se determinó que la perforación esofágica es una complicación compleja, donde se debe establecer un diagnóstico precoz y tratamiento oportuno como lo señalan las investigaciones citadas por los autores. Al sospechar de estos accidentes en los adultos mayores se hace sumamente importante, acudir lo más pronto posible a las emergencias de los centros de salud, para establecer un diagnóstico precoz y un tratamiento oportuno con el fin de prevenir las complicaciones que contribuyen al aumento de la tasa de mortalidad.
Una vez establecido el diagnóstico, el tratamiento dependerá del tiempo de evolución de la lesión, tipo de lesión y condición general del paciente, por ello se debe cumplir con los protocolos de atención de estos pacientes para así reducir las complicaciones.
CONCLUSIONES:
En la investigación realizada se determinó que los cambios relacionados con el envejecimiento son de gran importancia, como los desgastes de las piezas dentarias, atrofia de las encías, caídas de dientes y se debe estar atento a su aparición. La gran mayoría de los pacientes que acuden a la emergencia no van al odontólogo después de colocarse prótesis dentales. El diagnóstico precoz y la aplicación de protocolos de atención médica, es necesario para reducir las complicaciones que derivan de las perforaciones esofágicas y disminuir la morbimortalidad.
El autor declara que no tiene conflicto de interés en la publicación de este artículo.
Autofinanciado.
A todos los agentes sociales involucrados en el proceso investigativo.
REFERENCIAS
2022 por el autor. Este artículo es de acceso abierto y distribuido según los términos y condiciones de la licencia Creative Commons Atribución-NoComercial-CompartirIgual 4.0 Internacional (CC BY-NC-SA 4.0) (https://creativecommons.org/licenses/by-nc-sa/4.0/).
ANEXOS

Figura 1. Prótesis dental extraída del esófago a través de endoscopia digestiva superior. Fuente: Fotografía realizada por Dra. María Pulgar.

Figura 2. Rayos x de región cervical en proyección lateral izquierda, no se evidencian hallazgos patológicos asociados a la lesión.
Fuente: Fotografía realizada por Dra. María Pulgar.

Figura 3. Tomografía axial computarizada de región cervical. apreciando en región lateral izquierda del cuello, hiperdensidad paralela a la tráquea y glándula tiroidea, haciendo efecto de masa compresiva sobre las estructuras cercanas.
Fuente: Fotografía realizada por Dra. María Pulgar.

Figura 4. Tomografía axial computarizada de región cervical. apreciando en región lateral izquierda del cuello, hiperdensidad paralela a la tráquea y glándula tiroidea, haciendo efecto de masa compresiva sobre las estructuras cercanas.
Fuente: Fotografía realizada por Dra. María Pulgar.

Figura 5. Tomografía axial computarizada de región cervical. apreciando en región lateral izquierda del cuello, hiperdensidad paralela a la tráquea y glándula tiroidea, haciendo efecto de masa compresiva sobre las estructuras cercanas.
Fuente: Fotografía realizada por Dra. María Pulgar.